Tel:
+49 (0)241 95 163 153
Fax:
+49 (0)241 95 163 155
E-Mail:
orders@anticorps-enligne.fr

SLUG anticorps (AA 126-268)

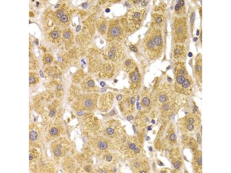
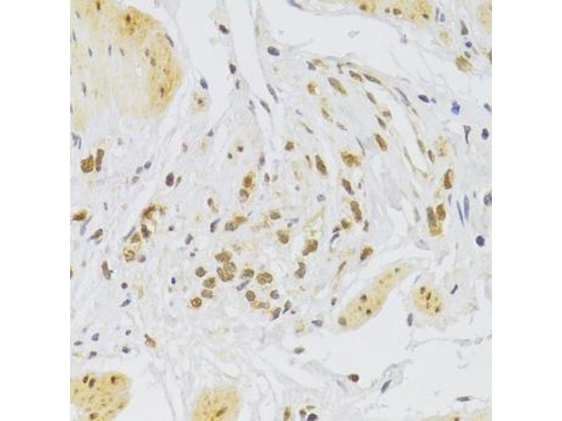
Cet anticorps anti-SLUG Polyclonal Lapin (ABIN6148181) détecte spécifiquement SLUG dans WB et IHC. L’anticorps est réactif avec des échantillons de Humain.
N° du produit ABIN6148181
320,00 €
Plus frais de livraison 40,00 € et TVA
Destination: France
Envoi sous 8 à 10 jours ouvrables

Aperçu rapide pour SLUG anticorps (AA 126-268) (ABIN6148181)

Antigène

Voir toutes SLUG (SNAI2) Anticorps
SLUG (SNAI2) (Snail Family Zinc Finger 2 (SNAI2))

Reactivité

  • 52
  • 20
  • 15
  • 4
  • 4
  • 3
  • 3
  • 3
  • 2
  • 2
  • 2
  • 2
  • 1
  • 1
Humain

Hôte

  • 39
  • 13
Lapin

Clonalité

  • 40
  • 11
Polyclonal

Conjugué

  • 34
  • 2
  • 2
  • 2
  • 2
  • 2
  • 2
  • 2
  • 2
  • 1
  • 1
Cet anticorp SLUG est non-conjugé

Application

  • 28
  • 19
  • 13
  • 10
  • 4
  • 4
  • 2
  • 1
  • 1
  • 1
  • 1
  • 1
Western Blotting (WB), Immunohistochemistry (IHC)
  • Épitope

    • 5
    • 3
    • 3
    • 2
    • 2
    • 2
    • 2
    • 1
    • 1
    • 1
    • 1
    • 1
    • 1
    • 1
    • 1
    • 1
    • 1
    • 1
    AA 126-268

    Séquence

    EKFQCNLCNK TYSTFSGLAK HKQLHCDAQS RKSFSCKYCD KEYVSLGALK MHIRTHTLPC VCKICGKAFS RPWLLQGHIR THTGEKPFSC PHCNRAFADR SNLRAHLQTH SDVKKYQCKN CSKTFSRMSL LHKHEESGCC VAH

     Réactivité croisée

    Humain, Souris, Rat

    Attributs du produit

    Polyclonal Antibodies

    Immunogène

    Recombinant fusion protein containing a sequence corresponding to amino acids 126-268 of human Slug (NP_003059.1).

    Isotype

    IgG
  • Indications d'application

    WB,1:500 - 1:2000,IHC,1:50 - 1:200

    Restrictions

    For Research Use only
  • Format

    Liquid

    Buffer

    PBS with 0.02 % sodium azide,50 % glycerol, pH 7.3.

    Agent conservateur

    Sodium azide

    Précaution d'utilisation

    This product contains Sodium azide: a POISONOUS AND HAZARDOUS SUBSTANCE which should be handled by trained staff only.

    Stock

    -20 °C

    Stockage commentaire

    Store at -20°C. Avoid freeze / thaw cycles.
  • Antigène

    SLUG (SNAI2) (Snail Family Zinc Finger 2 (SNAI2))

    Autre désignation

    SNAI2

    Sujet

    This gene encodes a member of the Snail family of C2H2-type zinc finger transcription factors. The encoded protein acts as a transcriptional repressor that binds to E-box motifs and is also likely to repress E-cadherin transcription in breast carcinoma. This protein is involved in epithelial-mesenchymal transitions and has antiapoptotic activity. Mutations in this gene may be associated with sporatic cases of neural tube defects.,SNAI2,SLUG,SLUGH,SLUGH1,SNAIL2,WS2D,Epigenetics & Nuclear Signaling,Transcription Factors,Cancer,Cell Biology & Developmental Biology,Neuroscience,Cell Type Marker,Stem Cells,Neural Stem Cells,Neural Stem Cell marker,SNAI2

    Poids moléculaire

    29 kDa

    ID gène

    6591

    UniProt

    O43623
Vous êtes ici:
Chat with us!