Tel:
+49 (0)241 95 163 153
Fax:
+49 (0)241 95 163 155
E-Mail:
orders@anticorps-enligne.fr

TYMS anticorps

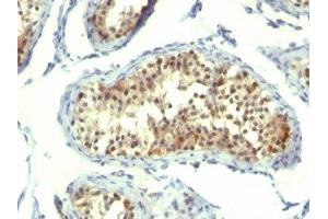
Cet anticorps anti-TYMS Monoclonal Souris (Clone TMS715) (ABIN6171257) détecte spécifiquement TYMS dans IF, FACS, ISt et IHC (f). L’anticorps est réactif avec des échantillons de Humain.
N° du produit ABIN6171257
566,15 €
Plus frais de livraison 40,00 € et TVA
50 μL
Destination: France
Envoi sous 8 à 14 jours ouvrables

Aperçu rapide pour TYMS anticorps (ABIN6171257)

Antigène

Voir toutes TYMS Anticorps
TYMS (Thymidylate Synthetase (TYMS))

Reactivité

  • 130
  • 39
  • 25
  • 3
  • 2
  • 2
  • 2
  • 2
  • 1
  • 1
  • 1
Humain

Hôte

  • 65
  • 64
  • 1
Souris

Clonalité

  • 86
  • 44
Monoclonal

Conjugué

  • 57
  • 10
  • 4
  • 4
  • 4
  • 4
  • 4
  • 4
  • 4
  • 4
  • 3
  • 2
  • 2
  • 2
  • 2
  • 2
  • 2
  • 1
  • 1
  • 1
  • 1
  • 1
  • 1
  • 1
  • 1
  • 1
  • 1
  • 1
  • 1
  • 1
  • 1
  • 1
  • 1
Cet anticorp TYMS est non-conjugé

Application

  • 67
  • 65
  • 65
  • 45
  • 24
  • 19
  • 18
  • 18
  • 18
  • 15
  • 14
  • 13
  • 12
  • 7
  • 3
  • 3
  • 2
  • 2
  • 1
  • 1
Immunofluorescence (IF), Flow Cytometry (FACS), Immunostaining (ISt), Immunohistochemistry (Formalin-fixed Sections) (IHC (f))

Clone

TMS715
  • Fonction

    Mouse Monoclonal anti-Thymidylate Synthase (TMS715), Purified, BSA-free

    Attributs du produit

    This antibody recognizes a protein of 36 kDa, identified as Thymidylate Synthase (TS) (EC 2.1.1.45). TS converts deoxyuridine monophosphate (dUMP) to deoxythymidine monophosphate (dTMP), which is essential for DNA biosynthesis. TS is also a critical target for the fluoropyrimidines, an important group of antineoplastic drugs that are widely used in the treatment of solid tumors. Both 5-FU and fluorodeoxyuridine are converted in tumor cells to FdUMP which inactivates TS by formation of a ternary covalent complex in the presence of the folate cofactor 5,10-methylenetetrahydrofolate. Expression of TS protein is associated with response to 5-fluorouracil (5-FU) in human colorectal, gastric, head and neck, and breast carcinomas. Primary antibodies are available purified, or with a selection of fluorescent CF® dyes and other labels. CF® dyes offer exceptional brightness and photostability. Note: Conjugates of blue fluorescent dyes like CF®405S and CF®405M are not recommended for detecting low abundance targets, because blue dyes have lower fluorescence and can give higher non-specific background than other dye colors.

    Purification

    Purified

    Immunogène

    Recombinant human thymidylate synthase

    Isotype

    IgG1 kappa
  • Indications d'application

    Immunohistology formalin-fixed 1-2 μg/mL
    • Staining of formalin-fixed tissues is enhanced by boiling tissue sections in 10 mM citrate buffer,  pH 6.0, for 10-20 min followed by cooling at RT for 20 minutes
    • Immunofluorescence 0.5-1 μg/mL
    • Flow Cytometry 0.5-1 μg/million cells/0.1 mL
    • Optimal dilution for a specific application should be determined by user

    Commentaires

    5-FU-resistant colon carcinoma cell lines (NCI H630R10, NCI H630R1), 5-FU-resistant breast cancer cell lines, MCF-Ad5 and MCF-Ad10. Testicular carcinomas.

    Restrictions

    For Research Use only
  • Format

    Liquid

    Concentration

    1 mg/mL

    Buffer

    PBS (no BSA, no azide)

    Agent conservateur

    Azide free
  • Antigène

    TYMS (Thymidylate Synthetase (TYMS))

    Autre désignation

    Thymidylate Synthase

    Sujet

    DTMP synthase, TMS, TS, TSase, TYMS protein, Tyms thymidylate synthetase

    Poids moléculaire

    36 kDa

    ID gène

    7298, 369762

    UniProt

    P04818

    Pathways

    Mitotic G1-G1/S Phases
Vous êtes ici:
Chat with us!