Tel:
+49 (0)241 95 163 153
Fax:
+49 (0)241 95 163 155
E-Mail:
orders@anticorps-enligne.fr

Tubulin, beta 8 anticorps

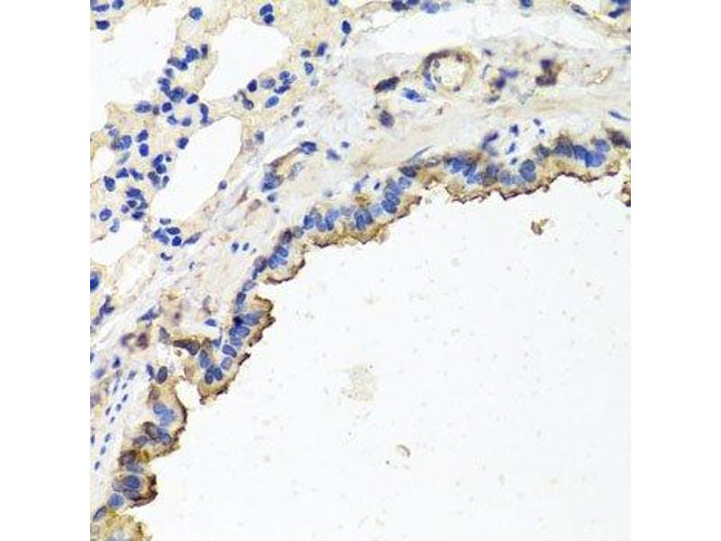
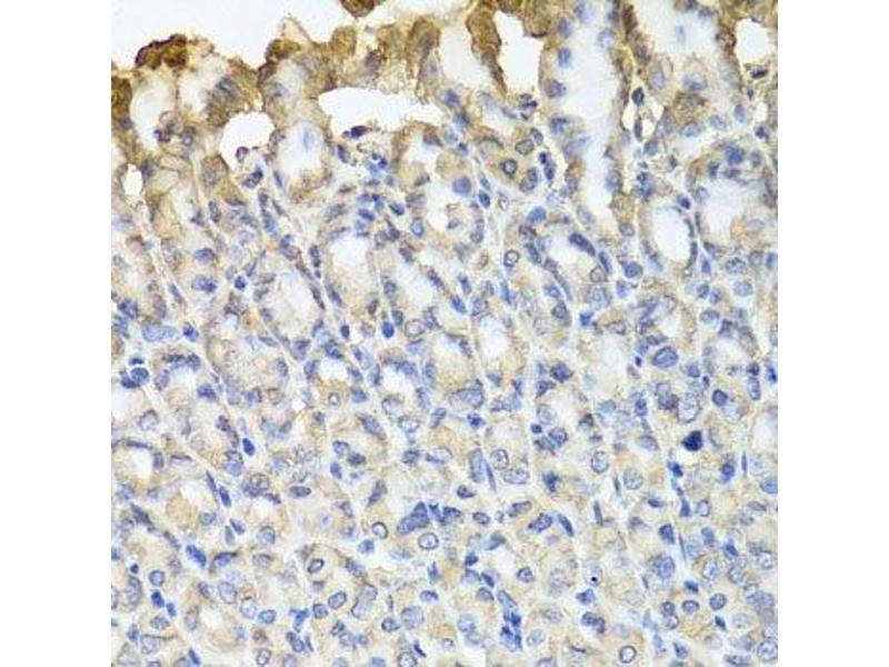
Cet anticorps anti-Tubulin, beta 8 Polyclonal Lapin (ABIN6149691) détecte spécifiquement Tubulin, beta 8 dans WB et IHC. L’anticorps est réactif avec des échantillons de Humain.
N° du produit ABIN6149691
320,00 €
Plus frais de livraison 40,00 € et TVA
Destination: France
Envoi sous 8 à 10 jours ouvrables

Aperçu rapide pour Tubulin, beta 8 anticorps (ABIN6149691)

Antigène

Voir toutes Tubulin, beta 8 (TUBB8) Anticorps
Tubulin, beta 8 (TUBB8)

Reactivité

  • 16
  • 1
  • 1
Humain

Hôte

  • 16
Lapin

Clonalité

  • 16
Polyclonal

Conjugué

  • 10
  • 2
  • 1
  • 1
  • 1
  • 1
Cet anticorp Tubulin, beta 8 est non-conjugé

Application

  • 16
  • 10
  • 4
  • 2
  • 1
  • 1
Western Blotting (WB), Immunohistochemistry (IHC)
Vous êtes ici:
Chat with us!