Tel:
+49 (0)241 95 163 153
Fax:
+49 (0)241 95 163 155
E-Mail:
orders@anticorps-enligne.fr

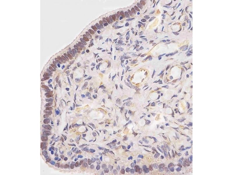
OVGP1 anticorps (AA 107-137)

Cet anticorps Lapin Polyclonal détecte spécifiquement OVGP1 dans WB, IHC (p) et FACS. Il présente une réactivité avec des échantillons de Humain.
N° du produit ABIN6242906
434,77 €
Plus frais de livraison 40,00 € et TVA
Destination: France
Envoi sous 14 à 17 jours ouvrables

Aperçu rapide pour OVGP1 anticorps (AA 107-137) (ABIN6242906)

Antigène

Voir toutes OVGP1 Anticorps
OVGP1 (Oviductal Glycoprotein 1 (OVGP1))

Reactivité

  • 18
  • 8
  • 5
Humain

Hôte

  • 19
  • 1
Lapin

Clonalité

  • 19
  • 1
Polyclonal

Conjugué

  • 16
  • 2
  • 1
  • 1
Cet anticorp OVGP1 est non-conjugé

Application

  • 16
  • 8
  • 7
  • 6
  • 5
  • 2
  • 1
  • 1
  • 1
Western Blotting (WB), Immunohistochemistry (Paraffin-embedded Sections) (IHC (p)), Flow Cytometry (FACS)

Clone

RB55148
  • Épitope

    • 6
    • 3
    • 2
    • 1
    • 1
    • 1
    • 1
    • 1
    • 1
    • 1
    AA 107-137

    Purification

    This antibody is purified through a protein A column, followed by peptide affinity purification.

    Immunogène

    This OVGP1 antibody is generated from a rabbit immunized with a KLH conjugated synthetic peptide between 107-137 amino acids from human OVGP1.

    Isotype

    Ig Fraction
  • Indications d'application

    WB: 1:2000. IHC-P: 1:25. FC: 1:25

    Restrictions

    For Research Use only
  • Format

    Liquid

    Buffer

    Purified polyclonal antibody supplied in PBS with 0.09 % (W/V) sodium azide.

    Agent conservateur

    Sodium azide

    Précaution d'utilisation

    This product contains Sodium azide: a POISONOUS AND HAZARDOUS SUBSTANCE which should be handled by trained staff only.

    Stock

    4 °C,-20 °C

    Date de péremption

    6 months
  • Antigène

    OVGP1 (Oviductal Glycoprotein 1 (OVGP1))

    Autre désignation

    OVGP1

    Sujet

    Binds to oocyte zona pellucida in vivo. May play a role in the fertilization process and/or early embryonic development.

    Poids moléculaire

    75421

    UniProt

    Q12889
Vous êtes ici:
Chat with us!