×
Pour une meilleure utilisation, nous vous conseillons d’activer Javascript dans votre navigateur.
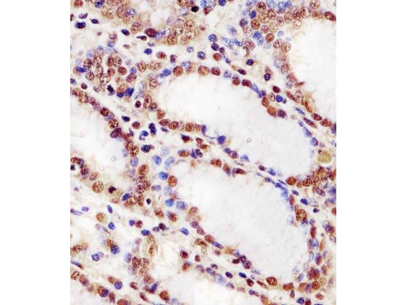
HNRNPUL2 anticorps (AA 337-350)
Cet anticorps Lapin Polyclonal détecte spécifiquement HNRNPUL2 dans WB et IHC (p). Il présente une réactivité avec des échantillons de Humain.
N° du produit ABIN6243590
434,77 €
Plus frais de livraison 40,00 € et TVA
50 μL ABIN6578256
200 μL ABIN6243590
50 μL ABIN6578256
200 μL ABIN6243590
Envoi sous 14 à 17 jours ouvrables
Aperçu rapide pour HNRNPUL2 anticorps (AA 337-350) (ABIN6243590)
Antigène
Voir toutes HNRNPUL2 Anticorps
HNRNPUL2
(Heterogeneous Nuclear Ribonucleoprotein U-Like 2 (HNRNPUL2))
Reactivité
Toutes les réactivités sur HNRNPUL2 Anticorps
Humain
Hôte
Toutes les hôtes sur HNRNPUL2 Anticorps
Lapin
Clonalité
Toutes les clonalités sur HNRNPUL2 Anticorps
Polyclonal
Conjugué
Tous les conjugués à travers HNRNPUL2 Anticorps
Cet anticorp HNRNPUL2 est non-conjugé
Application
Tous les applications à travers HNRNPUL2 Anticorps.
Western Blotting (WB), Immunohistochemistry (Paraffin-embedded Sections) (IHC (p))
Clone
RB53002
Détail du produit anti-HNRNPUL2 anticorps
(cache)
Épitope
Tous les épitopes à travers HNRNPUL2 Anticorps.
AA 337-350
Purification
This antibody is purified through a protein A column, followed by peptide affinity purification.
Immunogène
This HNRNPUL2 antibody is generated from a rabbit immunized with a KLH conjugated synthetic peptide between 337-350 amino acids from the Central region of human HNRNPUL2.
Isotype
Ig Fraction
Alternatives
(show)
Information d'application
(cache)
Indications d'application
WB: 1:8000. WB: 1:2000. IHC-P: 1:25
Restrictions
For Research Use only
Stockage
(cache)
Format
Liquid
Buffer
Purified polyclonal antibody supplied in PBS with 0.09 % (W/V) sodium azide.
Agent conservateur
Sodium azide
Précaution d'utilisation
This product contains Sodium azide: a POISONOUS AND HAZARDOUS SUBSTANCE which should be handled by trained staff only.
Stock
4 °C,-20 °C
Date de péremption
6 months
Détails sur HNRNPUL2
(cache)
Antigène
HNRNPUL2
(Heterogeneous Nuclear Ribonucleoprotein U-Like 2 (HNRNPUL2))
Autre désignation
HNRNPUL2
UniProt
Q1KMD3
Vus récemment
(cache)
Chat with us , powered by LiveChat