Tel:
+49 (0)241 95 163 153
Fax:
+49 (0)241 95 163 155
E-Mail:
orders@anticorps-enligne.fr

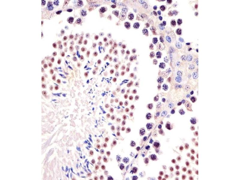
TRIM24 anticorps (C-Term)

Cet anticorps Lapin Polyclonal détecte spécifiquement TRIM24 dans WB, IF et IHC (p). Il présente une réactivité avec des échantillons de Souris.
N° du produit ABIN6244019
434,77 €
Plus frais de livraison 40,00 € et TVA
Destination: France
Envoi sous 14 à 17 jours ouvrables

Aperçu rapide pour TRIM24 anticorps (C-Term) (ABIN6244019)

Antigène

Voir toutes TRIM24 Anticorps
TRIM24 (Tripartite Motif Containing 24 (TRIM24))

Reactivité

  • 81
  • 26
  • 7
  • 6
  • 5
  • 5
  • 4
  • 3
  • 3
  • 3
  • 2
  • 1
Souris

Hôte

  • 74
  • 7
  • 1
Lapin

Clonalité

  • 52
  • 30
Polyclonal

Conjugué

  • 43
  • 5
  • 4
  • 4
  • 4
  • 4
  • 4
  • 4
  • 2
  • 2
  • 2
  • 2
  • 1
  • 1
Cet anticorp TRIM24 est non-conjugé

Application

  • 61
  • 35
  • 23
  • 19
  • 14
  • 7
  • 4
  • 4
  • 1
  • 1
  • 1
  • 1
Western Blotting (WB), Immunofluorescence (IF), Immunohistochemistry (Paraffin-embedded Sections) (IHC (p))

Clone

RB51160
  • Épitope

    • 8
    • 8
    • 4
    • 3
    • 2
    • 2
    • 2
    • 2
    • 1
    • 1
    • 1
    • 1
    • 1
    • 1
    • 1
    • 1
    • 1
    • 1
    • 1
    • 1
    • 1
    AA 789-843, C-Term

    Purification

    This antibody is purified through a protein A column, followed by peptide affinity purification.

    Immunogène

    This Mouse Trim24 antibody is generated from a rabbit immunized with a KLH conjugated synthetic peptide between 789-843 amino acids from the C-terminal region of Mouse Trim24.

    Isotype

    Ig Fraction
  • Indications d'application

    IF: 1:25. WB: 1:1000. WB: 1:2000. IHC-P: 1:25

    Restrictions

    For Research Use only
  • Format

    Liquid

    Buffer

    Purified polyclonal antibody supplied in PBS with 0.09 % (W/V) sodium azide.

    Agent conservateur

    Sodium azide

    Précaution d'utilisation

    This product contains Sodium azide: a POISONOUS AND HAZARDOUS SUBSTANCE which should be handled by trained staff only.

    Stock

    4 °C,-20 °C

    Date de péremption

    6 months
  • Antigène

    TRIM24 (Tripartite Motif Containing 24 (TRIM24))

    Autre désignation

    Trim24

    Sujet

    Transcriptional coactivator that interacts with numerous nuclear receptors and coactivators and modulates the transcription of target genes. Interacts with chromatin depending on histone H3 modifications, having the highest affinity for histone H3 that is both unmodified at 'Lys-4' (H3K4me0) and acetylated at 'Lys-23' (H3K23ac) (By similarity). Has E3 protein-ubiquitin ligase activity. Promotes ubiquitination and proteasomal degradation of p53/TP53. Plays a role in the regulation of cell proliferation and apoptosis via its effects on p53/TP53 levels. Up-regulates ligand- dependent transcription activation by AR, GCR/NR3C1, thyroid hormone receptor (TR) and ESR1. Modulates transcription activation by retinoic acid (RA) receptors, such as RARA. Plays a role in regulating retinoic acid-dependent proliferation of hepatocytes. Required for normal transition from proliferating neonatal hepatocytes to quiescent adult hepatocytes.

    Poids moléculaire

    116657

    UniProt

    Q64127
Vous êtes ici:
Chat with us!