Tel:
+49 (0)241 95 163 153
Fax:
+49 (0)241 95 163 155
E-Mail:
orders@anticorps-enligne.fr

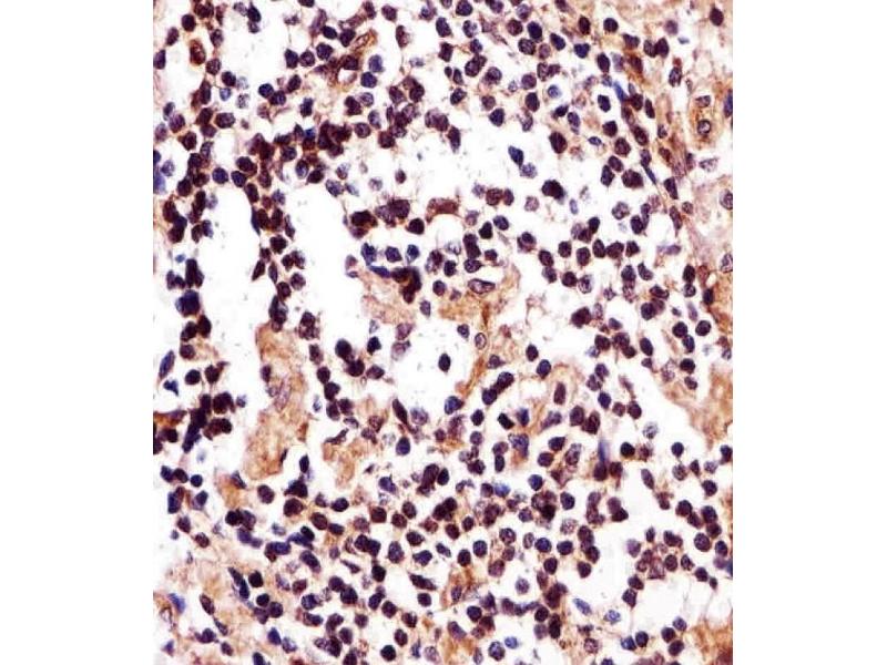
IZUMO2 anticorps (AA 90-124)

L’anticorps anti-IZUMO2 Polyclonal Lapin est utilisé pour la détection de IZUMO2 dans des échantillons de Humain. Il a été validé pour WB et IHC (p).
N° du produit ABIN6244206
434,77 €
Plus frais de livraison 40,00 € et TVA
Destination: France
Envoi sous 14 à 17 jours ouvrables

Aperçu rapide pour IZUMO2 anticorps (AA 90-124) (ABIN6244206)

Antigène

IZUMO2 (IZUMO Family Member 2 (IZUMO2))

Reactivité

Humain

Hôte

  • 3
Lapin

Clonalité

  • 3
Polyclonal

Conjugué

  • 3
Cet anticorp IZUMO2 est non-conjugé

Application

Western Blotting (WB), Immunohistochemistry (Paraffin-embedded Sections) (IHC (p))

Clone

RB47539
  • Épitope

    • 1
    • 1
    AA 90-124

    Purification

    This antibody is purified through a protein A column, followed by peptide affinity purification.

    Immunogène

    This IZUMO2 antibody is generated from a rabbit immunized with a KLH conjugated synthetic peptide between 90-124 amino acids from the Central region of human IZUMO2.

    Isotype

    IgG
  • Indications d'application

    WB: 1:1000. IHC-P: 1:25

    Restrictions

    For Research Use only
  • Format

    Liquid

    Buffer

    Purified polyclonal antibody supplied in PBS with 0.09 % (W/V) sodium azide.

    Agent conservateur

    Sodium azide

    Précaution d'utilisation

    This product contains Sodium azide: a POISONOUS AND HAZARDOUS SUBSTANCE which should be handled by trained staff only.

    Stock

    4 °C,-20 °C

    Date de péremption

    6 months
  • Antigène

    IZUMO2 (IZUMO Family Member 2 (IZUMO2))

    Autre désignation

    IZUMO2

    Poids moléculaire

    24856

    UniProt

    Q6UXV1
Vous êtes ici:
Chat with us!