Tel:
+49 (0)241 95 163 153
Fax:
+49 (0)241 95 163 155
E-Mail:
orders@anticorps-enligne.fr

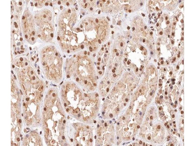
MKP-1/2 anticorps (pSer296, pSer318)

Cet anticorps anti-MKP-1/2 Polyclonal Lapin (ABIN6256252) détecte spécifiquement MKP-1/2 dans WB, ELISA, IHC, ICC et IF. L’anticorps est réactif avec des échantillons de Humain, Souris et Rat.
N° du produit ABIN6256252
525,71 €
Plus frais de livraison 40,00 € et TVA
Destination: France
Envoi sous 9 à 11 jours ouvrables

Aperçu rapide pour MKP-1/2 anticorps (pSer296, pSer318) (ABIN6256252)

Antigène

MKP-1/2 (DUSP1/4) (Dual Specificity Phosphatase 1/4 (DUSP1/4))

Reactivité

  • 17
  • 15
  • 15
  • 1
  • 1
  • 1
  • 1
Humain, Souris, Rat

Hôte

  • 17
Lapin

Clonalité

  • 17
Polyclonal

Conjugué

  • 10
  • 1
  • 1
  • 1
  • 1
  • 1
  • 1
  • 1
Cet anticorp MKP-1/2 est non-conjugé

Application

Western Blotting (WB), ELISA, Immunohistochemistry (IHC), Immunocytochemistry (ICC), Immunofluorescence (IF)
  • Épitope

    • 3
    • 3
    • 2
    • 1
    • 1
    • 1
    • 1
    • 1
    pSer296, pSer318

    Specificité

    Phospho-MKP-1/2 (Ser296/318) Antibody detects endogenous levels of MKP-1/2 only when phosphorylated at Serine 296/318

     Réactivité croisée

    Humain, Souris, Rat (Rattus)

    Purification

    The antibody is from purified rabbit serum by affinity purification via sequential chromatography on phospho- and non-phospho-peptide affinity columns.

    Immunogène

    A synthesized peptide derived from human MKP-1/2 around the phosphorylation site of Serine 296/318

    Isotype

    IgG
  • Indications d'application

    WB 1:500-1:2000 IHC 1:50-1:200, IF/ICC 1:100-1:500

    Restrictions

    For Research Use only
  • Format

    Liquid

    Concentration

    1 mg/mL

    Buffer

    Rabbit IgG in phosphate buffered saline ,  pH 7.4, 150  mM NaCl, 0.02 % sodium azide and 50 % glycerol.

    Agent conservateur

    Sodium azide

    Précaution d'utilisation

    This product contains Sodium azide: a POISONOUS AND HAZARDOUS SUBSTANCE which should be handled by trained staff only.

    Stock

    -20 °C

    Stockage commentaire

    Store at -20 °C.Stable for 12 months from date of receipt

    Date de péremption

    12 months
  • Antigène

    MKP-1/2 (DUSP1/4) (Dual Specificity Phosphatase 1/4 (DUSP1/4))

    Autre désignation

    MKP-1/2

    Sujet

    Description: Dual specificity phosphatase that dephosphorylates MAP kinase MAPK1/ERK2 on both 'Thr-183' and 'Tyr-185', regulating its activity during the meiotic cell cycle.

    Gene: DUSP1

    Poids moléculaire

    45kDa

    ID gène

    1843

    UniProt

    P28562, Q13115
Vous êtes ici:
Chat with us!