Tel:
+49 (0)241 95 163 153
Fax:
+49 (0)241 95 163 155
E-Mail:
orders@anticorps-enligne.fr

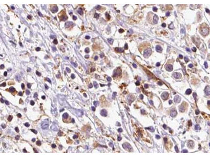
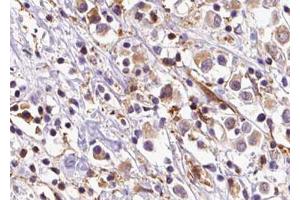
SLC35C2 anticorps (C-Term)

L’anticorps anti-SLC35C2 Polyclonal Lapin est utilisé pour la détection de SLC35C2 dans des échantillons de Humain et Souris. Il a été validé pour WB, ELISA et IHC.
N° du produit ABIN6259278
525,71 €
Plus frais de livraison 40,00 € et TVA
Destination: France
Envoi sous 9 à 11 jours ouvrables

Aperçu rapide pour SLC35C2 anticorps (C-Term) (ABIN6259278)

Antigène

Voir toutes SLC35C2 (OVCOV1) Anticorps
SLC35C2 (OVCOV1) (Ovarian Cancer Overexpressed 1 (OVCOV1))

Reactivité

  • 6
  • 4
  • 2
  • 2
  • 2
  • 2
  • 2
  • 2
  • 2
  • 1
  • 1
Humain, Souris

Hôte

  • 6
Lapin

Clonalité

  • 6
Polyclonal

Conjugué

  • 6
Cet anticorp SLC35C2 est non-conjugé

Application

  • 6
  • 2
  • 1
  • 1
  • 1
  • 1
  • 1
Western Blotting (WB), ELISA, Immunohistochemistry (IHC)
  • Épitope

    • 1
    • 1
    • 1
    • 1
    • 1
    C-Term

    Specificité

    SLC35C2 Antibody detects endogenous levels of total SLC35C2.

    Purification

    The antiserum was purified by peptide affinity chromatography using SulfoLinkTM Coupling Resin (Thermo Fisher Scientific).

    Immunogène

    A synthesized peptide derived from human SLC35C2, corresponding to a region within C-terminal amino acids.

    Isotype

    IgG
  • Indications d'application

    WB 1:500-1:2000, IHC 1:50-1:200, ELISA(peptide) 1:20000-1:40000

    Restrictions

    For Research Use only
  • Format

    Liquid

    Concentration

    1 mg/mL

    Buffer

    Rabbit IgG in phosphate buffered saline, pH 7.4, 150 mM NaCl, 0.02 % sodium azide and 50 % glycerol.

    Agent conservateur

    Sodium azide

    Précaution d'utilisation

    This product contains Sodium azide: a POISONOUS AND HAZARDOUS SUBSTANCE which should be handled by trained staff only.

    Stock

    -20 °C

    Date de péremption

    12 months
  • Antigène

    SLC35C2 (OVCOV1) (Ovarian Cancer Overexpressed 1 (OVCOV1))

    Autre désignation

    SLC35C2

    Sujet

    Description: May play an important role in the cellular response to tissue hypoxia. May be either a GDP-fucose transporter that competes with SLC35C1 for GDP-fucose, or a factor that otherwise enhances the fucosylation of Notch and is required for optimal Notch signaling in mammalian cells.

    Gene: SLC35C2

    Poids moléculaire

    40 kDa

    ID gène

    51006

    UniProt

    Q9NQQ7
Vous êtes ici:
Chat with us!