Tel:
+49 (0)241 95 163 153
Fax:
+49 (0)241 95 163 155
E-Mail:
orders@anticorps-enligne.fr

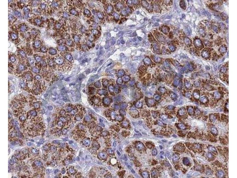
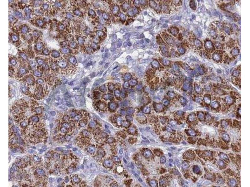
BMP3 anticorps (Internal Region)

Cet anticorps Lapin Polyclonal détecte spécifiquement BMP3 dans WB, ELISA, IHC, ICC et IF. Il présente une réactivité avec des échantillons de Humain, Rat et Souris.
N° du produit ABIN6260282
525,71 €
Plus frais de livraison 40,00 € et TVA
Destination: France
Envoi sous 9 à 11 jours ouvrables

Aperçu rapide pour BMP3 anticorps (Internal Region) (ABIN6260282)

Antigène

Voir toutes BMP3 Anticorps
BMP3 (Bone Morphogenetic Protein 3 (BMP3))

Reactivité

  • 57
  • 12
  • 11
  • 7
  • 2
  • 2
  • 1
  • 1
  • 1
Humain, Rat, Souris

Hôte

  • 55
  • 10
  • 1
Lapin

Clonalité

  • 57
  • 9
Polyclonal

Conjugué

  • 42
  • 5
  • 5
  • 4
  • 2
  • 2
  • 1
  • 1
  • 1
  • 1
  • 1
  • 1
Cet anticorp BMP3 est non-conjugé

Application

  • 53
  • 37
  • 26
  • 12
  • 12
  • 6
  • 1
  • 1
Western Blotting (WB), ELISA, Immunohistochemistry (IHC), Immunocytochemistry (ICC), Immunofluorescence (IF)
  • Épitope

    • 8
    • 8
    • 6
    • 5
    • 5
    • 4
    • 3
    • 3
    • 2
    • 2
    • 1
    • 1
    • 1
    • 1
    • 1
    • 1
    • 1
    • 1
    • 1
    Internal Region

    Specificité

    BMP3 Antibody detects endogenous levels of total BMP3.

    Homologie

    Bovine,Sheep

    Purification

    The antiserum was purified by peptide affinity chromatography using SulfoLinkTM Coupling Resin (Thermo Fisher Scientific).

    Immunogène

    A synthesized peptide derived from human BMP3, corresponding to a region within the internal amino acids.

    Isotype

    IgG
  • Indications d'application

    WB 1:500-1:2000, IHC 1:50-1:200, IF/ICC 1:100-1:500, ELISA(peptide) 1:20000-1:40000

    Restrictions

    For Research Use only
  • Format

    Liquid

    Concentration

    1 mg/mL

    Buffer

    Rabbit IgG in phosphate buffered saline , pH 7.4, 150 mM NaCl, 0.02 % sodium azide and 50 % glycerol.

    Agent conservateur

    Sodium azide

    Précaution d'utilisation

    This product contains Sodium azide: a POISONOUS AND HAZARDOUS SUBSTANCE which should be handled by trained staff only.

    Stock

    -20 °C

    Stockage commentaire

    Store at -20 °C. Stable for 12 months from date of receipt.

    Date de péremption

    12 months
  • Antigène

    BMP3 (Bone Morphogenetic Protein 3 (BMP3))

    Autre désignation

    BMP3

    Sujet

    Description: Negatively regulates bone density. Antagonizes the ability of certain osteogenic BMPs to induce osteoprogenitor differentitation and ossification.

    Gene: BMP3

    Poids moléculaire

    53 kDa

    ID gène

    651

    UniProt

    P12645
Vous êtes ici:
Chat with us!