ETFDH anticorps (C-Term)
Aperçu rapide pour ETFDH anticorps (C-Term) (ABIN6261615)
Antigène
Voir toutes ETFDH AnticorpsReactivité
Hôte
Clonalité
Conjugué
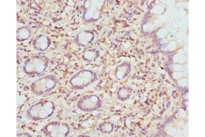
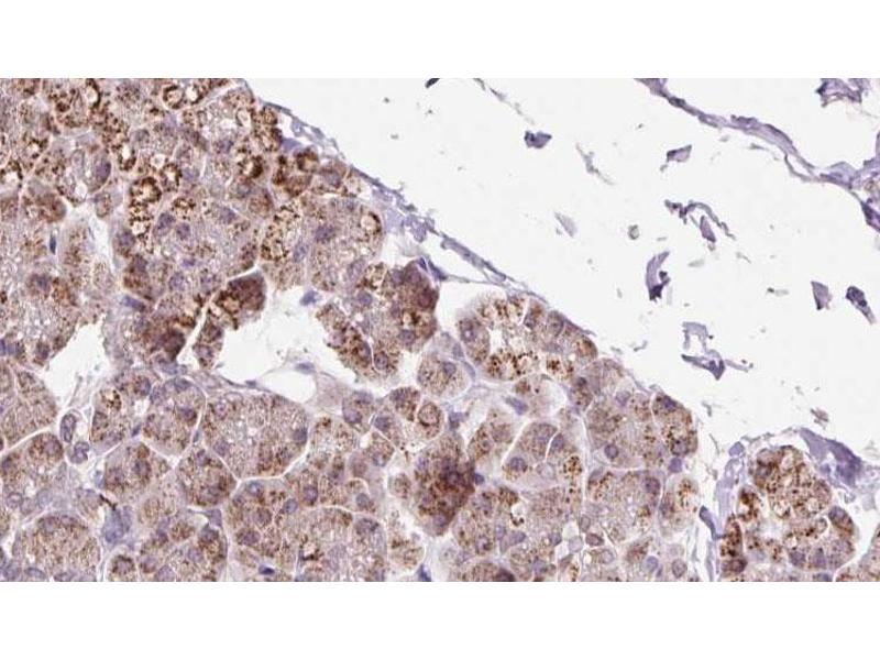
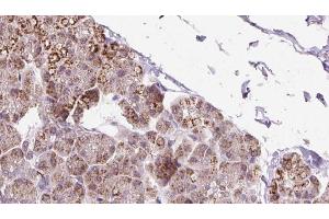
Application
-
-
Épitope
- C-Term
-
Specificité
- ETFDH Antibody detects endogenous levels of total ETFDH.
-
Homologie
- Pig,Zebrafish,Bovine,Horse,Sheep,Rabbit,Dog,Xenopus
-
Purification
- The antiserum was purified by peptide affinity chromatography using SulfoLinkTM Coupling Resin (Thermo Fisher Scientific).
-
Immunogène
- A synthesized peptide derived from human ETFDH, corresponding to a region within C-terminal amino acids.
-
Isotype
- IgG
-
-
-
-
Indications d'application
- WB 1:500-1:2000, IHC 1:50-1:200, IF/ICC 1:100-1:500
-
Restrictions
- For Research Use only
-
-
-
Format
- Liquid
-
Concentration
- 1 mg/mL
-
Buffer
- Rabbit IgG in phosphate buffered saline , pH 7.4, 150 mM NaCl, 0.02 % sodium azide and 50 % glycerol.
-
Agent conservateur
- Sodium azide
-
Précaution d'utilisation
- This product contains Sodium azide: a POISONOUS AND HAZARDOUS SUBSTANCE which should be handled by trained staff only.
-
Stock
- -20 °C
-
Stockage commentaire
- Store at -20 °C. Stable for 12 months from date of receipt.
-
Date de péremption
- 12 months
-
-
- ETFDH (Electron-Transferring-Flavoprotein Dehydrogenase (ETFDH))
-
Autre désignation
- ETFDH
-
Sujet
-
Description: Accepts electrons from ETF and reduces ubiquinone.
Gene: ETFDH
-
Poids moléculaire
- 64 kDa
-
ID gène
- 2110
-
UniProt
- Q16134
-
Pathways
- Monocarboxylic Acid Catabolic Process
Antigène
-