Tel:
+49 (0)241 95 163 153
Fax:
+49 (0)241 95 163 155
E-Mail:
orders@anticorps-enligne.fr

FABP2 anticorps (C-Term)

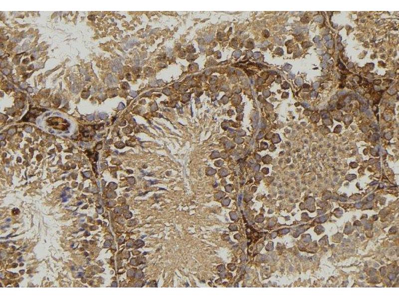
L’anticorps anti-FABP2 Polyclonal Lapin est utilisé pour la détection de FABP2 dans des échantillons de Humain, Rat et Souris. Il a été validé pour WB, IHC, ELISA, ICC et IF.
N° du produit ABIN6261648
525,71 €
Plus frais de livraison 40,00 € et TVA
Destination: France
Envoi sous 9 à 11 jours ouvrables

Aperçu rapide pour FABP2 anticorps (C-Term) (ABIN6261648)

Antigène

Voir toutes FABP2 Anticorps
FABP2 (Fatty Acid Binding Protein 2, Intestinal (FABP2))

Reactivité

  • 72
  • 29
  • 24
  • 4
  • 3
  • 1
  • 1
Humain, Rat, Souris

Hôte

  • 68
  • 28
  • 3
Lapin

Clonalité

  • 68
  • 30
Polyclonal

Conjugué

  • 56
  • 14
  • 9
  • 2
  • 2
  • 2
  • 1
  • 1
  • 1
  • 1
  • 1
  • 1
  • 1
  • 1
  • 1
  • 1
  • 1
  • 1
  • 1
  • 1
Cet anticorp FABP2 est non-conjugé

Application

  • 69
  • 46
  • 30
  • 22
  • 13
  • 9
  • 8
  • 8
  • 4
  • 3
  • 2
  • 2
  • 2
  • 2
  • 2
  • 1
  • 1
  • 1
Western Blotting (WB), Immunohistochemistry (IHC), ELISA, Immunocytochemistry (ICC), Immunofluorescence (IF)
  • Épitope

    • 18
    • 11
    • 6
    • 6
    • 4
    • 2
    • 2
    • 1
    • 1
    • 1
    • 1
    • 1
    • 1
    C-Term

    Specificité

    FABP2 Antibody detects endogenous levels of total FABP2.

    Homologie

    Pig,Zebrafish,Bovine,Horse,Sheep,Rabbit,Dog,Chicken

    Purification

    The antiserum was purified by peptide affinity chromatography using SulfoLinkTM Coupling Resin (Thermo Fisher Scientific).

    Immunogène

    A synthesized peptide derived from human FABP2, corresponding to a region within C-terminal amino acids.

    Isotype

    IgG
  • Indications d'application

    WB 1:500-1:2000, IHC 1:50-1:200, IF/ICC 1:100-1:500, ELISA(peptide) 1:20000-1:40000

    Restrictions

    For Research Use only
  • Format

    Liquid

    Concentration

    1 mg/mL

    Buffer

    Rabbit IgG in phosphate buffered saline , pH 7.4, 150 mM NaCl, 0.02 % sodium azide and 50 % glycerol.

    Agent conservateur

    Sodium azide

    Précaution d'utilisation

    This product contains Sodium azide: a POISONOUS AND HAZARDOUS SUBSTANCE which should be handled by trained staff only.

    Stock

    -20 °C

    Stockage commentaire

    Store at -20 °C. Stable for 12 months from date of receipt.

    Date de péremption

    12 months
  • Antigène

    FABP2 (Fatty Acid Binding Protein 2, Intestinal (FABP2))

    Autre désignation

    FABP2

    Sujet

    Description: FABP are thought to play a role in the intracellular transport of long-chain fatty acids and their acyl-CoA esters. FABP2 is probably involved in triglyceride-rich lipoprotein synthesis. Binds saturated long-chain fatty acids with a high affinity, but binds with a lower affinity to unsaturated long-chain fatty acids. FABP2 may also help maintain energy homeostasis by functioning as a lipid sensor.

    Gene: FABP2

    Poids moléculaire

    15kDa

    ID gène

    2169

    UniProt

    P12104
Vous êtes ici:
Chat with us!