Tel:
+49 (0)241 95 163 153
Fax:
+49 (0)241 95 163 155
E-Mail:
orders@anticorps-enligne.fr

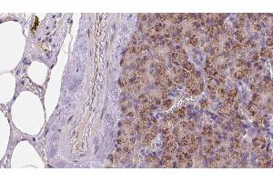
KIDINS220 anticorps (Internal Region)

L’anticorps anti-KIDINS220 Polyclonal Lapin est utilisé pour la détection de KIDINS220 dans des échantillons de Humain, Rat et Souris. Il a été validé pour WB, IHC, IF et ICC.
N° du produit ABIN6262800
525,71 €
Plus frais de livraison 40,00 € et TVA
Destination: France
Envoi sous 9 à 11 jours ouvrables

Aperçu rapide pour KIDINS220 anticorps (Internal Region) (ABIN6262800)

Antigène

Voir toutes KIDINS220 Anticorps
KIDINS220 (Kinase D-Interacting Substrate, 220kDa (KIDINS220))

Reactivité

  • 35
  • 11
  • 10
  • 1
Humain, Rat, Souris

Hôte

  • 37
  • 9
Lapin

Clonalité

  • 37
  • 9
Polyclonal

Conjugué

  • 21
  • 5
  • 3
  • 3
  • 2
  • 2
  • 2
  • 2
  • 2
  • 2
  • 1
  • 1
Cet anticorp KIDINS220 est non-conjugé

Application

  • 24
  • 16
  • 5
  • 3
  • 3
  • 2
  • 1
  • 1
  • 1
  • 1
  • 1
  • 1
Western Blotting (WB), Immunohistochemistry (IHC), Immunofluorescence (IF), Immunocytochemistry (ICC)
  • Épitope

    • 9
    • 8
    • 6
    • 2
    • 2
    • 1
    • 1
    • 1
    • 1
    • 1
    • 1
    • 1
    • 1
    Internal Region

    Specificité

    KIDINS220 Antibody detects endogenous levels of total KIDINS220.

    Homologie

    Pig,Bovine,Horse,Sheep,Rabbit,Dog,Xenopus

    Purification

    The antiserum was purified by peptide affinity chromatography using SulfoLinkTM Coupling Resin (Thermo Fisher Scientific).

    Immunogène

    A synthesized peptide derived from human KIDINS220, corresponding to a region within the internal amino acids.

    Isotype

    IgG
  • Indications d'application

    WB 1:500-1:2000, IHC 1:50-1:200, IF/ICC 1:100-1:500

    Restrictions

    For Research Use only
  • Format

    Liquid

    Concentration

    1 mg/mL

    Buffer

    Rabbit IgG in phosphate buffered saline , pH 7.4, 150 mM NaCl, 0.02 % sodium azide and 50 % glycerol.

    Agent conservateur

    Sodium azide

    Précaution d'utilisation

    This product contains Sodium azide: a POISONOUS AND HAZARDOUS SUBSTANCE which should be handled by trained staff only.

    Stock

    -20 °C

    Stockage commentaire

    Store at -20 °C. Stable for 12 months from date of receipt.

    Date de péremption

    12 months
  • Antigène

    KIDINS220 (Kinase D-Interacting Substrate, 220kDa (KIDINS220))

    Autre désignation

    KIDINS220

    Sujet

    Description: Promotes a prolonged MAP-kinase signaling by neurotrophins through activation of a Rap1-dependent mechanism. Provides a docking site for the CRKL-C3G complex, resulting in Rap1-dependent sustained ERK activation. May play an important role in regulating postsynaptic signal transduction through the syntrophin-mediated localization of receptor tyrosine kinases such as EPHA4. In cooperation with SNTA1 can enhance EPHA4-induced JAK/STAT activation. Plays a role in nerve growth factor (NGF)-induced recruitment of RAPGEF2 to late endosomes and neurite outgrowth. May play a role in neurotrophin- and ephrin-mediated neuronal outgrowth and in axon guidance during neural development and in neuronal regeneration (By similarity). Modulates stress-induced apoptosis of melanoma cells via regulation of the MEK/ERK signaling pathway.

    Gene: KIDINS220

    Poids moléculaire

    186-197 kDa

    ID gène

    57498

    UniProt

    Q9ULH0
Vous êtes ici:
Chat with us!