Tel:
+49 (0)241 95 163 153
Fax:
+49 (0)241 95 163 155
E-Mail:
orders@anticorps-enligne.fr

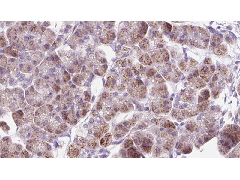
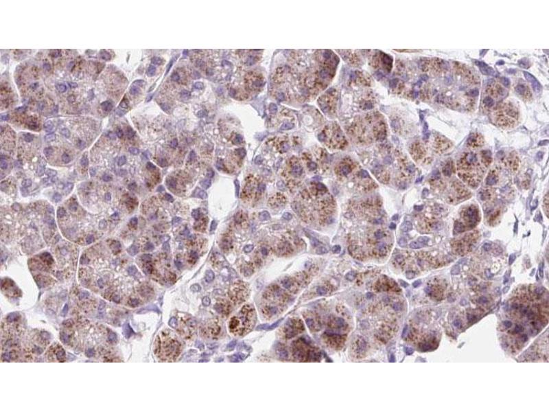
RAB12 anticorps (C-Term)

L’anticorps anti-RAB12 Polyclonal Lapin est utilisé pour la détection de RAB12 dans des échantillons de Humain et Souris. Il a été validé pour WB et IHC.
N° du produit ABIN6264555
525,71 €
Plus frais de livraison 40,00 € et TVA
Destination: France
Envoi sous 9 à 11 jours ouvrables

Aperçu rapide pour RAB12 anticorps (C-Term) (ABIN6264555)

Antigène

RAB12 (RAB12, Member RAS Oncogene Family (RAB12))

Reactivité

  • 21
  • 11
  • 1
Humain, Souris

Hôte

  • 21
Lapin

Clonalité

  • 21
Polyclonal

Conjugué

  • 11
  • 3
  • 3
  • 2
  • 1
  • 1
Cet anticorp RAB12 est non-conjugé

Application

  • 16
  • 15
  • 3
  • 2
  • 1
  • 1
  • 1
Western Blotting (WB), Immunohistochemistry (IHC)
  • Épitope

    • 8
    • 5
    • 4
    • 3
    • 1
    C-Term

    Specificité

    RAB12 Antibody detects endogenous levels of total RAB12.

    Homologie

    Pig,Bovine,Horse,Sheep,Rabbit,Dog,Chicken

    Purification

    The antiserum was purified by peptide affinity chromatography using SulfoLinkTM Coupling Resin (Thermo Fisher Scientific).

    Immunogène

    A synthesized peptide derived from human RAB12, corresponding to a region within C-terminal amino acids.

    Isotype

    IgG
  • Indications d'application

    WB 1:500-1:2000, IHC 1:50-1:200

    Restrictions

    For Research Use only
  • Format

    Liquid

    Concentration

    1 mg/mL

    Buffer

    Rabbit IgG in phosphate buffered saline , pH 7.4, 150 mM NaCl, 0.02 % sodium azide and 50 % glycerol.

    Agent conservateur

    Sodium azide

    Précaution d'utilisation

    This product contains Sodium azide: a POISONOUS AND HAZARDOUS SUBSTANCE which should be handled by trained staff only.

    Stock

    -20 °C

    Stockage commentaire

    Store at -20 °C. Stable for 12 months from date of receipt.

    Date de péremption

    12 months
  • Antigène

    RAB12 (RAB12, Member RAS Oncogene Family (RAB12))

    Autre désignation

    RAB12

    Sujet

    Description: The small GTPases Rab are key regulators of intracellular membrane trafficking, from the formation of transport vesicles to their fusion with membranes. Rabs cycle between an inactive GDP-bound form and an active GTP-bound form that is able to recruit to membranes different set of downstream effectors directly responsible for vesicle formation, movement, tethering and fusion. That Rab may play a role in protein transport from recycling endosomes to lysosomes regulating, for instance, the degradation of the transferrin receptor. Involved in autophagy (By similarity).

    Gene: RAB12

    Poids moléculaire

    28 kDa

    ID gène

    201475

    UniProt

    Q6IQ22
Vous êtes ici:
Chat with us!