TRHR anticorps
Aperçu rapide pour TRHR anticorps (ABIN6265723)
Antigène
Voir toutes TRHR AnticorpsReactivité
Hôte
Clonalité
Conjugué
Application
-
-
Specificité
- TRHR Antibody detects endogenous levels of TRHR
-
Réactivité croisée
- Humain, Souris, Rat (Rattus)
-
Purification
- The antiserum was purified by peptide affinity chromatography using SulfoLinkTM Coupling Resin (Thermo Fisher Scientific).
-
Immunogène
- A synthesized peptide derived from human TRHR
-
Isotype
- IgG
-
-
-
-
Indications d'application
- WB 1:500-1:2000 IF/ICC 1:100-1:500
-
Restrictions
- For Research Use only
-
-
-
Format
- Liquid
-
Concentration
- 1 mg/mL
-
Buffer
- Rabbit IgG in phosphate buffered saline , pH 7.4, 150 mM NaCl, 0.02 % sodium azide and 50 % glycerol.
-
Agent conservateur
- Sodium azide
-
Précaution d'utilisation
- This product contains Sodium azide: a POISONOUS AND HAZARDOUS SUBSTANCE which should be handled by trained staff only.
-
Stock
- -20 °C
-
Stockage commentaire
- Store at -20 °C.Stable for 12 months from date of receipt
-
Date de péremption
- 12 months
-
-
- TRHR (Thyrotropin-Releasing Hormone Receptor (TRHR))
-
Autre désignation
- TRHR
-
Sujet
-
Description: Receptor for thyrotropin-releasing hormone. This receptor is mediated by G proteins which activate a phosphatidylinositol-calcium second messenger system.
Gene: TRHR
-
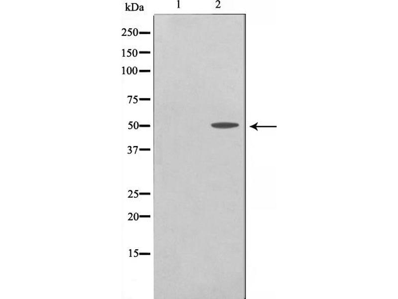
Poids moléculaire
- 50kDa
-
ID gène
- 7201
-
UniProt
- P34981
Antigène
-