MAT1A anticorps (N-Term)
Aperçu rapide pour MAT1A anticorps (N-Term) (ABIN629745)
Antigène
Voir toutes MAT1A AnticorpsReactivité
Hôte
Clonalité
Conjugué
Application
-
-
Épitope
- N-Term
-
Specificité
- MAT1 A antibody was raised against the N terminal of MAT1
-
Purification
- Purified
-
Immunogène
- MAT1 A antibody was raised using the N terminal of MAT1 corresponding to a region with amino acids TSESVGEGHPDKICDQISDAVLDAHLKQDPNAKVACETVCKTGMVLLCGE
-
-
-
-
Indications d'application
-
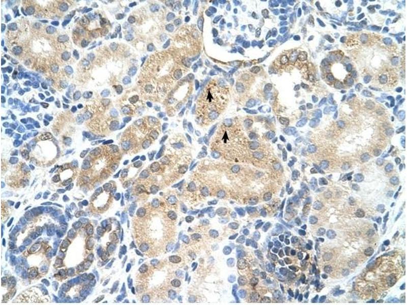
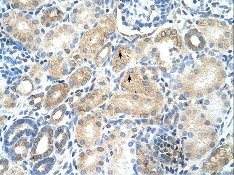
WB: 1.25 µg/mL, IHC: 4-8 µg/mL
Optimal conditions should be determined by the investigator. -
Commentaires
-
MAT1A Blocking Peptide, (ABIN5614678), is also available for use as a blocking control in assays to test for specificity of this MAT1A antibody
-
Restrictions
- For Research Use only
-
-
-
Format
- Lyophilized
-
Reconstitution
- Lyophilized powder. Add distilled water for a 1 mg/mL concentration of MAT0 antibody in PBS
-
Concentration
- Lot specific
-
Buffer
- PBS
-
Conseil sur la manipulation
-
Avoid repeated freeze/thaw cycles.
Dilute only prior to immediate use. -
Stock
- 4 °C/-20 °C
-
Stockage commentaire
- Store at 2-8 °C for short periods. For longer periods of storage, store at -20 °C.
-
-
- MAT1A (Methionine Adenosyltransferase I, alpha (MAT1A))
-
Autre désignation
- MAT1A
-
Sujet
- MAT1A catalyzes the formation of S-adenosylmethionine from methionine and ATP. Methionine adenosyltransferase deficiency is caused by recessive and dominant mutations, the latter identified in autosomal dominant persistant hypermethioninemia.
-
Poids moléculaire
- 43 kDa (MW of target protein)
-
Pathways
- Mitotic G1-G1/S Phases, M Phase, Ribonucleoside Biosynthetic Process, Methionine Biosynthetic Process
Antigène
-