PAIP1 anticorps
Aperçu rapide pour PAIP1 anticorps (ABIN629948)
Antigène
Voir toutes PAIP1 AnticorpsReactivité
Hôte
Clonalité
Conjugué
Application
-
-
Purification
- Purified
-
Immunogène
- PAIP1 antibody was raised using a synthetic peptide corresponding to a region with amino acids EPTFYTSDGVPFTAADPDYQEKYQELLEREDFFPDYEENGTDLSGAGDPY
-
-
-
-
Indications d'application
-
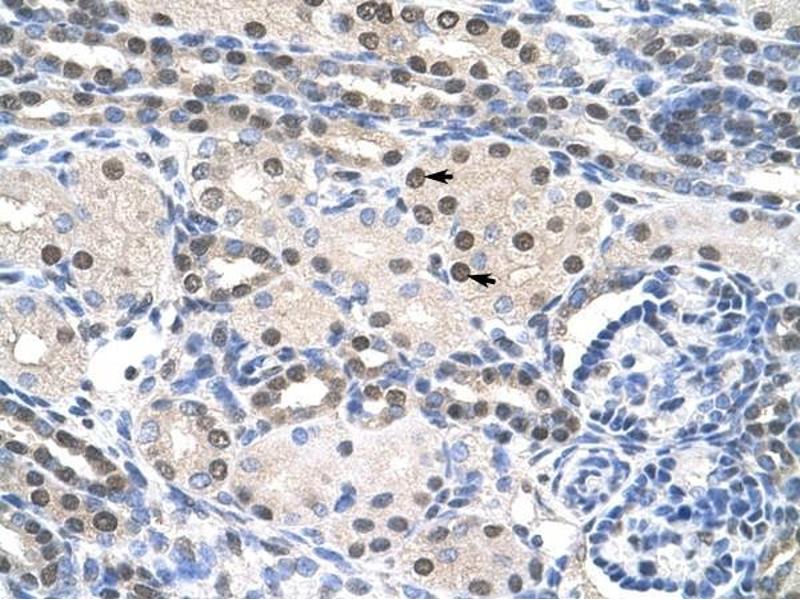
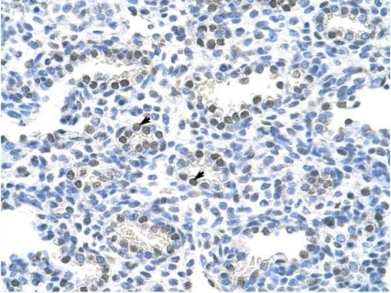
WB: 1.25 µg/mL, IHC: 4-8 µg/mL
Optimal conditions should be determined by the investigator. -
Commentaires
-
PAIP1 Blocking Peptide, (ABIN938036), is also available for use as a blocking control in assays to test for specificity of this PAIP1 antibody
-
Restrictions
- For Research Use only
-
-
-
Format
- Lyophilized
-
Reconstitution
- Lyophilized powder. Add distilled water for a 1 mg/mL concentration of PAIP1 antibody in PBS
-
Concentration
- Lot specific
-
Buffer
- PBS
-
Conseil sur la manipulation
- Avoid repeated freeze/thaw cycles.
-
Stock
- 4 °C/-20 °C
-
Stockage commentaire
- Store at 2-8 °C for short periods. For longer periods of storage, store at -20 °C.
-
-
- PAIP1 (Poly(A) Binding Protein Interacting Protein 1 (PAIP1))
-
Autre désignation
- PAIP1
-
Sujet
- PAIP1 interacts with poly(A)-binding protein and with the cap-binding complex eIF4A. It is involved in translational initiation and protein biosynthesis. Overexpression of this gene in COS7 cells stimulates translation.
-
Poids moléculaire
- 44 kDa (MW of target protein)
Antigène
-