CHRNB2 anticorps
Aperçu rapide pour CHRNB2 anticorps (ABIN630117)
Antigène
Voir toutes CHRNB2 AnticorpsReactivité
Hôte
Clonalité
Conjugué
Application
-
-
Purification
- Purified
-
Immunogène
- CHRNB2 antibody was raised using a synthetic peptide corresponding to a region with amino acids CKIEVKHFPFDQQNCTMKFRSWTYDRTEIDLVLKSEVASLDDFTPSGEWD
-
-
-
-
Indications d'application
-
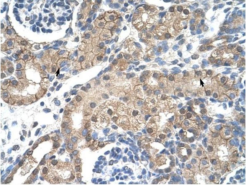
WB: 2.5 µg/mL, IHC: 4-8 µg/mL
Optimal conditions should be determined by the investigator. -
Commentaires
-
CHRNB2 Blocking Peptide, (ABIN937108), is also available for use as a blocking control in assays to test for specificity of this CHRNB2 antibody
-
Restrictions
- For Research Use only
-
-
-
Format
- Lyophilized
-
Reconstitution
- Lyophilized powder. Add distilled water for a 1 mg/mL concentration of CHRNB2 antibody in PBS
-
Concentration
- Lot specific
-
Buffer
- PBS
-
Conseil sur la manipulation
- Avoid repeated freeze/thaw cycles.
-
Stock
- 4 °C/-20 °C
-
Stockage commentaire
- Store at 2-8 °C for short periods. For longer periods of storage, store at -20 °C.
-
-
- CHRNB2 (Cholinergic Receptor, Nicotinic, beta 2 (Neuronal) (CHRNB2))
-
Autre désignation
- CHRNB2
-
Sujet
- Mutations in nAChRs are found in a rare form of nocturnal frontal lobe epilepsy . Previously, some nAChR mutations have been described that are associated with additional neurological features such as psychiatric disorders or cognitive defects. A new CHRNB2 mutation located in transmembrane region 3 (M3), outside the known ADNFLE mutation cluster. The CHRNB2 mutation I312M, which occurred de novo in twins, markedly increases the receptor's sensitivity to acetylcholine. Phenotypically, the mutation is associated not only with typical ADNFLE, but also with distinct deficits in memory. The cognitive problems are most obvious in tasks requiring the organization and storage of verbal information.
-
Poids moléculaire
- 57 kDa (MW of target protein)
-
Pathways
- Sensory Perception of Sound, Feeding Behaviour
Antigène
-