PSG1 anticorps (N-Term)
Aperçu rapide pour PSG1 anticorps (N-Term) (ABIN630159)
Antigène
Voir toutes PSG1 AnticorpsReactivité
Hôte
Clonalité
Conjugué
Application
-
-
Épitope
- N-Term
-
Specificité
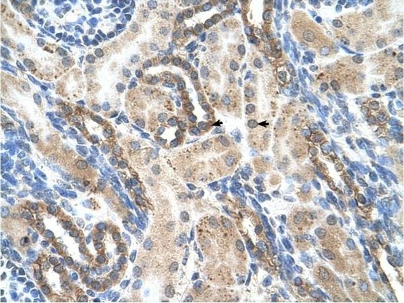
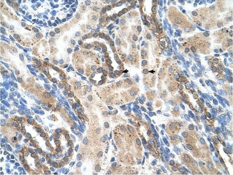
- PSG1 antibody was raised against the N terminal of PSG1
-
Purification
- Purified
-
Immunogène
- PSG1 antibody was raised using the N terminal of PSG1 corresponding to a region with amino acids SGRETAYSNASLLIQNVTREDAGSYTLHIIKGDDGTRGVTGRFTFTLHLE
-
-
-
-
Indications d'application
-
WB: 2.5 µg/mL, IHC: 4-8 µg/mL
Optimal conditions should be determined by the investigator. -
Commentaires
-
PSG1 Blocking Peptide, (ABIN5615612), is also available for use as a blocking control in assays to test for specificity of this PSG1 antibody
-
Restrictions
- For Research Use only
-
-
-
Format
- Lyophilized
-
Reconstitution
- Lyophilized powder. Add distilled water for a 1 mg/mL concentration of PSG1 antibody in PBS
-
Concentration
- Lot specific
-
Buffer
- PBS
-
Conseil sur la manipulation
-
Avoid repeated freeze/thaw cycles.
Dilute only prior to immediate use. -
Stock
- 4 °C/-20 °C
-
Stockage commentaire
- Store at 2-8 °C for short periods. For longer periods of storage, store at -20 °C.
-
-
- PSG1 (Pregnancy Specific beta-1-Glycoprotein 1 (PSG1))
-
Autre désignation
- PSG1
-
Sujet
- PSG1 plays an immunomodulatory roles during pregnancy.
-
Poids moléculaire
- 47 kDa (MW of target protein)
Antigène
-