Tel:
+49 (0)241 95 163 153
Fax:
+49 (0)241 95 163 155
E-Mail:
orders@anticorps-enligne.fr

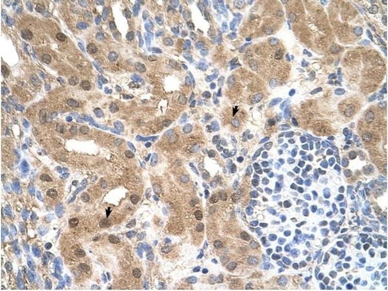
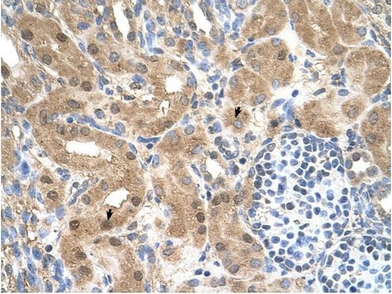
MGC39633 (N-Term) anticorps

Cet anticorps Lapin Polyclonal détecte spécifiquement MGC39633 dans IHC et WB. Il présente une réactivité avec des échantillons de Humain et Chien.
N° du produit ABIN630310
1.075,31 €
Plus frais de livraison 40,00 € et TVA
100 μg
Destination: France
Envoi sous 13 à 17 jours ouvrables

Aperçu rapide pour MGC39633 (N-Term) anticorps (ABIN630310)

Antigène

MGC39633

Reactivité

  • 2
  • 1
  • 1
  • 1
  • 1
  • 1
  • 1
  • 1
Humain, Chien

Hôte

  • 2
Lapin

Clonalité

  • 2
Polyclonal

Conjugué

  • 2
Inconjugué

Application

  • 2
  • 2
  • 1
Immunohistochemistry (IHC), Western Blotting (WB)
  • Épitope

    N-Term

    Specificité

    MGC39633 antibody was raised against the N terminal Of Mgc39633

    Purification

    Purified

    Immunogène

    MGC39633 antibody was raised using the N terminal Of Mgc39633 corresponding to a region with amino acids VRTAEKFKNQVINMEKDKHSHFYNQKSDFRIEHSMLEELENKLIHSRKTE
  • Indications d'application

    WB: 1.25 µg/mL, IHC: 4-8 µg/mL
    Optimal conditions should be determined by the investigator.

    Commentaires

    MGC39633 Blocking Peptide, (ABIN5614748), is also available for use as a blocking control in assays to test for specificity of this MGC39633 antibody

    Restrictions

    For Research Use only
  • Format

    Lyophilized

    Reconstitution

    Lyophilized powder. Add distilled water for a 1 mg/mL concentration of MGC39633 antibody in PBS

    Concentration

    Lot specific

    Buffer

    PBS

    Conseil sur la manipulation

    Avoid repeated freeze/thaw cycles.
    Dilute only prior to immediate use.

    Stock

    4 °C/-20 °C

    Stockage commentaire

    Store at 2-8 °C for short periods. For longer periods of storage, store at -20 °C.
  • Antigène

    MGC39633

    Sujet

    The function of MGC39633 protein is not widely studied, and is yet to be elucidated fully.

    Poids moléculaire

    62 kDa (MW of target protein)
Vous êtes ici:
Chat with us!