Tel:
+49 (0)241 95 163 153
Fax:
+49 (0)241 95 163 155
E-Mail:
orders@anticorps-enligne.fr

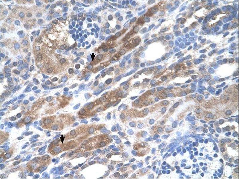
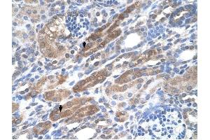
KIAA0319 anticorps (N-Term)

L’anticorps anti-KIAA0319 Polyclonal Lapin est utilisé pour la détection de KIAA0319 dans des échantillons de Humain. Il a été validé pour WB et IHC.
N° du produit ABIN630311
1.075,31 €
Plus frais de livraison 40,00 € et TVA
100 μg
Destination: France
Envoi sous 13 à 17 jours ouvrables

Aperçu rapide pour KIAA0319 anticorps (N-Term) (ABIN630311)

Antigène

Voir toutes KIAA0319 Anticorps
KIAA0319

Reactivité

  • 32
  • 8
  • 6
  • 5
  • 4
  • 2
Humain

Hôte

  • 31
  • 2
Lapin

Clonalité

  • 33
Polyclonal

Conjugué

  • 9
  • 3
  • 3
  • 3
  • 1
  • 1
  • 1
  • 1
  • 1
  • 1
  • 1
  • 1
  • 1
  • 1
  • 1
  • 1
  • 1
  • 1
  • 1
Cet anticorp KIAA0319 est non-conjugé

Application

  • 23
  • 13
  • 13
  • 13
  • 5
  • 4
  • 3
  • 2
  • 1
Western Blotting (WB), Immunohistochemistry (IHC)
  • Épitope

    • 15
    • 8
    • 2
    • 1
    • 1
    N-Term

    Specificité

    KIAA0319 antibody was raised against the N terminal of KIAA0319

    Purification

    Purified

    Immunogène

    KIAA0319 antibody was raised using the N terminal of KIAA0319 corresponding to a region with amino acids EEMSEYSDDYRELEKDLLQPSGKQEPRGSAEYTDWGLLPGSEGAFNSSVG
  • Indications d'application

    WB: 1.25 µg/mL, IHC: 4-8 µg/mL
    Optimal conditions should be determined by the investigator.

    Commentaires

    KIAA0319 Blocking Peptide, (ABIN937762), is also available for use as a blocking control in assays to test for specificity of this KIAA0319 antibody

    Restrictions

    For Research Use only
  • Format

    Lyophilized

    Reconstitution

    Lyophilized powder. Add distilled water for a 1 mg/mL concentration of KIAA0319 antibody in PBS

    Concentration

    Lot specific

    Buffer

    PBS

    Conseil sur la manipulation

    Avoid repeated freeze/thaw cycles.
    Dilute only prior to immediate use.

    Stock

    4 °C/-20 °C

    Stockage commentaire

    Store at 2-8 °C for short periods. For longer periods of storage, store at -20 °C.
  • Antigène

    KIAA0319

    Autre désignation

    KIAA0319

    Sujet

    KIAA0319 has been strongly associated with developmental dyslexia.

    Poids moléculaire

    56 kDa (MW of target protein)
Vous êtes ici:
Chat with us!