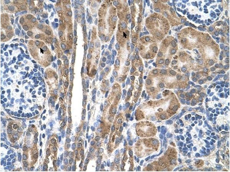
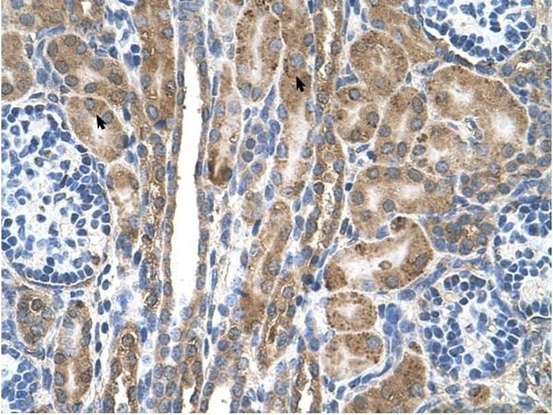
FAM55D anticorps (C-Term)
Aperçu rapide pour FAM55D anticorps (C-Term) (ABIN630400)
Antigène
Reactivité
Hôte
Clonalité
Conjugué
Application
-
-
Épitope
- C-Term
-
Specificité
- FAM55 D antibody was raised against the C terminal of FAM55
-
Purification
- Purified
-
Immunogène
- FAM55 D antibody was raised using the C terminal of FAM55 corresponding to a region with amino acids TYSVKEMEYLTRAIDRTGGEKNTVIVISLGQHFRPFPIDVFIRRALNVHK
-
-
-
-
Indications d'application
-
WB: 5 µg/mL, IHC: 4-8 µg/mL
Optimal conditions should be determined by the investigator. -
Commentaires
-
FAM55D Blocking Peptide, (ABIN5613492), is also available for use as a blocking control in assays to test for specificity of this FAM55D antibody
-
Restrictions
- For Research Use only
-
-
-
Format
- Lyophilized
-
Reconstitution
- Lyophilized powder. Add distilled water for a 1 mg/mL concentration of FAM50 antibody in PBS
-
Concentration
- Lot specific
-
Buffer
- PBS
-
Conseil sur la manipulation
-
Avoid repeated freeze/thaw cycles.
Dilute only prior to immediate use. -
Stock
- 4 °C/-20 °C
-
Stockage commentaire
- Store at 2-8 °C for short periods. For longer periods of storage, store at -20 °C.
-
-
- FAM55D (Family with Sequence Similarity 55, Member D (FAM55D))
-
Autre désignation
- FAM55D
-
Sujet
- The function of FAM55 protein is not widely studied, and is yet to be elucidated fully.
-
Poids moléculaire
- 60 kDa (MW of target protein)
Antigène
-