Tel:
+49 (0)241 95 163 153
Fax:
+49 (0)241 95 163 155
E-Mail:
orders@anticorps-enligne.fr

SLC46A3 anticorps (N-Term)

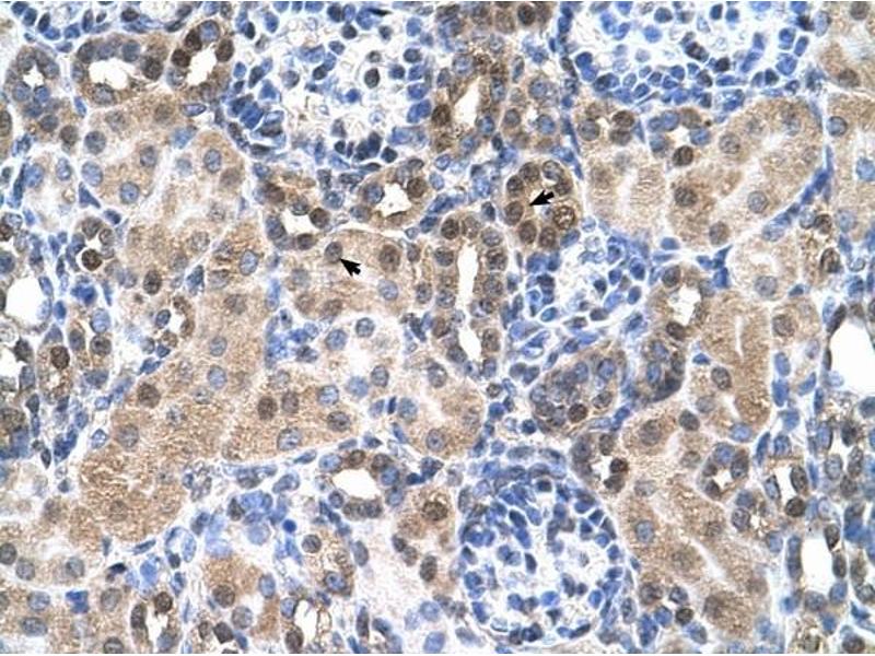
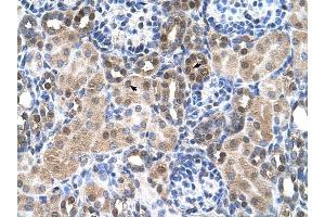
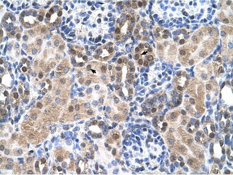
L’anticorps anti-SLC46A3 Polyclonal Lapin est utilisé pour la détection de SLC46A3 dans des échantillons de Humain. Il a été validé pour IHC et WB.
N° du produit ABIN630428
1.075,31 €
Plus frais de livraison 40,00 € et TVA
100 μg
Destination: France
Envoi sous 13 à 17 jours ouvrables

Aperçu rapide pour SLC46A3 anticorps (N-Term) (ABIN630428)

Antigène

SLC46A3 (Solute Carrier Family 46, Member 3 (SLC46A3))

Reactivité

  • 8
  • 3
  • 2
  • 2
  • 2
  • 1
Humain

Hôte

  • 8
Lapin

Clonalité

  • 8
Polyclonal

Conjugué

  • 4
  • 2
  • 1
  • 1
Cet anticorp SLC46A3 est non-conjugé

Application

  • 5
  • 4
  • 3
  • 1
  • 1
  • 1
Immunohistochemistry (IHC), Western Blotting (WB)
  • Épitope

    • 5
    • 2
    • 1
    N-Term

    Specificité

    SLC46 A3 antibody was raised against the N terminal of SLC46 3

    Purification

    Purified

    Immunogène

    SLC46 A3 antibody was raised using the N terminal of SLC46 3 corresponding to a region with amino acids MKILFVEPAIFLSAFAMTLTGPLTTQYVYRRIWEETGNYTFSSDSNISEC
  • Indications d'application

    WB: 2.5 µg/mL, IHC: 4-8 µg/mL
    Optimal conditions should be determined by the investigator.

    Commentaires

    SLC46A3 Blocking Peptide, (ABIN5616260), is also available for use as a blocking control in assays to test for specificity of this SLC46A3 antibody

    Restrictions

    For Research Use only
  • Format

    Lyophilized

    Reconstitution

    Lyophilized powder. Add distilled water for a 1 mg/mL concentration of SLC40 3 antibody in PBS

    Concentration

    Lot specific

    Buffer

    PBS

    Conseil sur la manipulation

    Avoid repeated freeze/thaw cycles.
    Dilute only prior to immediate use.

    Stock

    4 °C/-20 °C

    Stockage commentaire

    Store at 2-8 °C for short periods. For longer periods of storage, store at -20 °C.
  • Antigène

    SLC46A3 (Solute Carrier Family 46, Member 3 (SLC46A3))

    Autre désignation

    SLC46A3

    Sujet

    The function of SLC46A3 protein is not widely studied, and is yet to be elucidated fully.

    Poids moléculaire

    51 kDa (MW of target protein)
Vous êtes ici:
Chat with us!