Tel:
+49 (0)241 95 163 153
Fax:
+49 (0)241 95 163 155
E-Mail:
orders@anticorps-enligne.fr

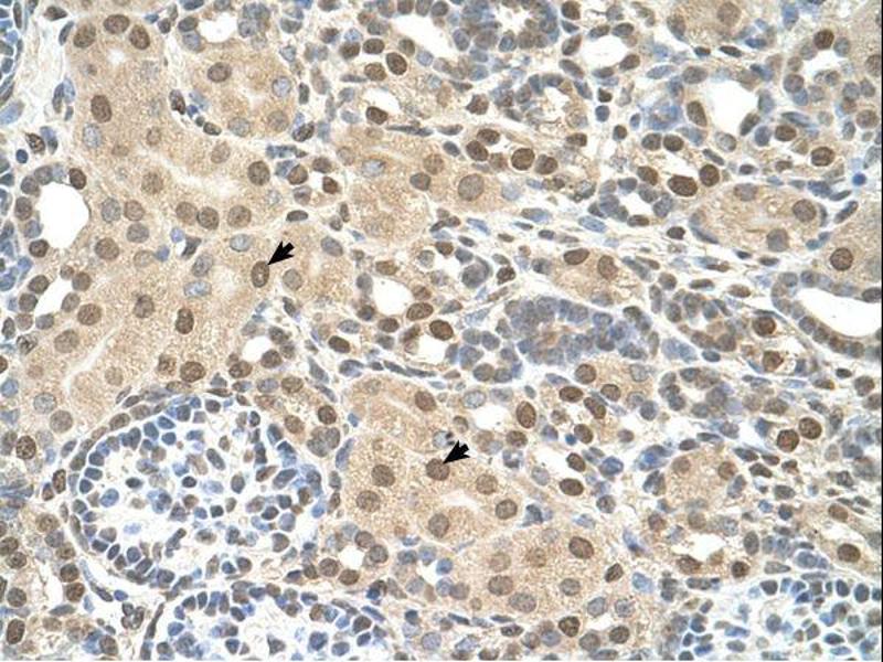
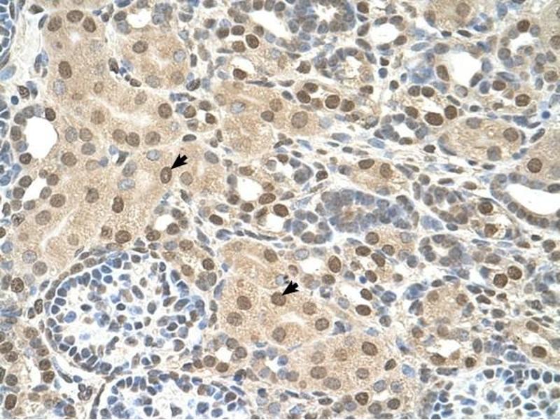
TMEM30A anticorps (N-Term)

Cet anticorps anti-TMEM30A Polyclonal Lapin (ABIN634944) détecte spécifiquement TMEM30A dans WB et IHC. L’anticorps est réactif avec des échantillons de Humain, Souris, Rat, Chien et Poisson zèbre (Danio rerio).
N° du produit ABIN634944
1.218,13 €
Plus frais de livraison 40,00 € et TVA
100 μL
Destination: France
Envoi sous 13 à 17 jours ouvrables

Aperçu rapide pour TMEM30A anticorps (N-Term) (ABIN634944)

Antigène

Voir toutes TMEM30A Anticorps
TMEM30A (Transmembrane Protein 30A (TMEM30A))

Reactivité

  • 22
  • 21
  • 21
  • 3
  • 3
  • 2
  • 2
  • 1
  • 1
  • 1
  • 1
  • 1
  • 1
  • 1
  • 1
Humain, Souris, Rat, Chien, Poisson zèbre (Danio rerio)

Hôte

  • 21
  • 1
Lapin

Clonalité

  • 21
  • 1
Polyclonal

Conjugué

  • 8
  • 1
  • 1
  • 1
  • 1
  • 1
  • 1
  • 1
  • 1
  • 1
  • 1
  • 1
  • 1
  • 1
  • 1
Cet anticorp TMEM30A est non-conjugé

Application

  • 21
  • 13
  • 13
  • 6
  • 4
  • 3
  • 3
  • 1
Western Blotting (WB), Immunohistochemistry (IHC)
  • Épitope

    • 15
    • 2
    • 1
    • 1
    • 1
    N-Term

    Specificité

    TMEM30 A antibody was raised against the N terminal of TMEM30

    Purification

    Affinity purified

    Immunogène

    TMEM30 A antibody was raised using the N terminal of TMEM30 corresponding to a region with amino acids FTLEKSFEGNVFMYYGLSNFYQNHRRYVKSRDDSQLNGDSSALLNPSKEC
  • Indications d'application

    WB: 0.25 µg/mL, IHC: 4-8 µg/mL
    Optimal conditions should be determined by the investigator.

    Commentaires

    TMEM30A Blocking Peptide, (ABIN938480), is also available for use as a blocking control in assays to test for specificity of this TMEM30A antibody

    Restrictions

    For Research Use only
  • Format

    Lyophilized

    Reconstitution

    Lyophilized powder. Add distilled water for a 1 mg/mL concentration of TMEM30 antibody in PBS

    Concentration

    Lot specific

    Buffer

    PBS

    Conseil sur la manipulation

    Avoid repeated freeze/thaw cycles.
    Dilute only prior to immediate use.

    Stock

    4 °C/-20 °C

    Stockage commentaire

    Store at 2-8 °C for short periods. For longer periods of storage, store at -20 °C.
  • Antigène

    TMEM30A (Transmembrane Protein 30A (TMEM30A))

    Autre désignation

    TMEM30A

    Sujet

    The function of TMEM30A protein is not widely studied, and is yet to be elucidated fully.

    Poids moléculaire

    41 kDa (MW of target protein)
Vous êtes ici:
Chat with us!