Tel:
+49 (0)241 95 163 153
Fax:
+49 (0)241 95 163 155
E-Mail:
orders@anticorps-enligne.fr

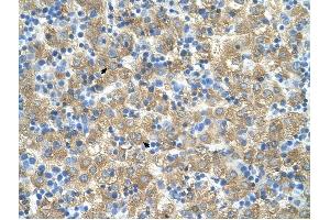
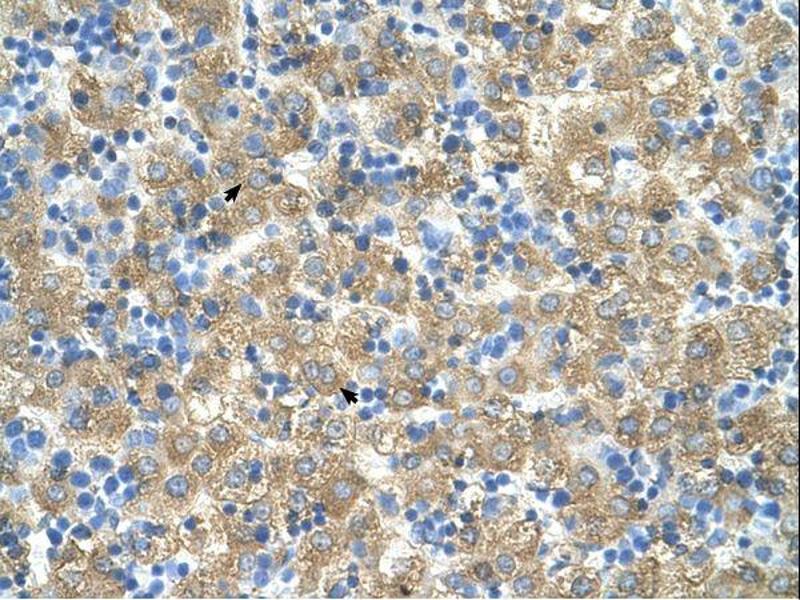
MARVELD3 anticorps (Middle Region)

L’anticorps anti-MARVELD3 Polyclonal Lapin est utilisé pour la détection de MARVELD3 dans des échantillons de Humain, Souris et Chien. Il a été validé pour WB et IHC.
N° du produit ABIN634967
1.218,13 €
Plus frais de livraison 40,00 € et TVA
100 μL
Destination: France
Envoi sous 13 à 17 jours ouvrables

Aperçu rapide pour MARVELD3 anticorps (Middle Region) (ABIN634967)

Antigène

Voir toutes MARVELD3 Anticorps
MARVELD3 (MARVEL Domain Containing 3 (MARVELD3))

Reactivité

  • 14
  • 9
  • 6
  • 3
  • 2
  • 2
  • 2
  • 2
  • 2
  • 1
  • 1
Humain, Souris, Chien

Hôte

  • 19
  • 1
  • 1
Lapin

Clonalité

  • 21
Polyclonal

Conjugué

  • 12
  • 3
  • 3
  • 3
Cet anticorp MARVELD3 est non-conjugé

Application

  • 14
  • 11
  • 5
  • 1
  • 1
Western Blotting (WB), Immunohistochemistry (IHC)
  • Épitope

    • 5
    • 4
    • 3
    • 2
    • 1
    • 1
    • 1
    • 1
    • 1
    Middle Region

    Specificité

    MARVELD3 antibody was raised against the middle region of MARVELD3

    Purification

    Affinity purified

    Immunogène

    MARVELD3 antibody was raised using the middle region of MARVELD3 corresponding to a region with amino acids SYFVLAGFSASFSSGGGFGNNYYSPFEGTELEQVRQLDQQYTILRSPLIY
  • Indications d'application

    WB: 0.25 µg/mL, IHC: 4-8 µg/mL
    Optimal conditions should be determined by the investigator.

    Commentaires

    MARVELD3 Blocking Peptide, (ABIN5614674), is also available for use as a blocking control in assays to test for specificity of this MARVELD3 antibody

    Restrictions

    For Research Use only
  • Format

    Lyophilized

    Reconstitution

    Lyophilized powder. Add distilled water for a 1 mg/mL concentration of MARVELD3 antibody in PBS

    Concentration

    Lot specific

    Buffer

    PBS

    Conseil sur la manipulation

    Avoid repeated freeze/thaw cycles.
    Dilute only prior to immediate use.

    Stock

    4 °C/-20 °C

    Stockage commentaire

    Store at 2-8 °C for short periods. For longer periods of storage, store at -20 °C.
  • Antigène

    MARVELD3 (MARVEL Domain Containing 3 (MARVELD3))

    Autre désignation

    MARVELD3

    Sujet

    MARVELD3 is involved in membrane apposition and fusion events.

    Poids moléculaire

    46 kDa (MW of target protein)

    Pathways

    Cell-Cell Junction Organization
Vous êtes ici:
Chat with us!