ST8SIA2 anticorps (C-Term)
Aperçu rapide pour ST8SIA2 anticorps (C-Term) (ABIN635706)
Antigène
Voir toutes ST8SIA2 AnticorpsReactivité
Hôte
Clonalité
Conjugué
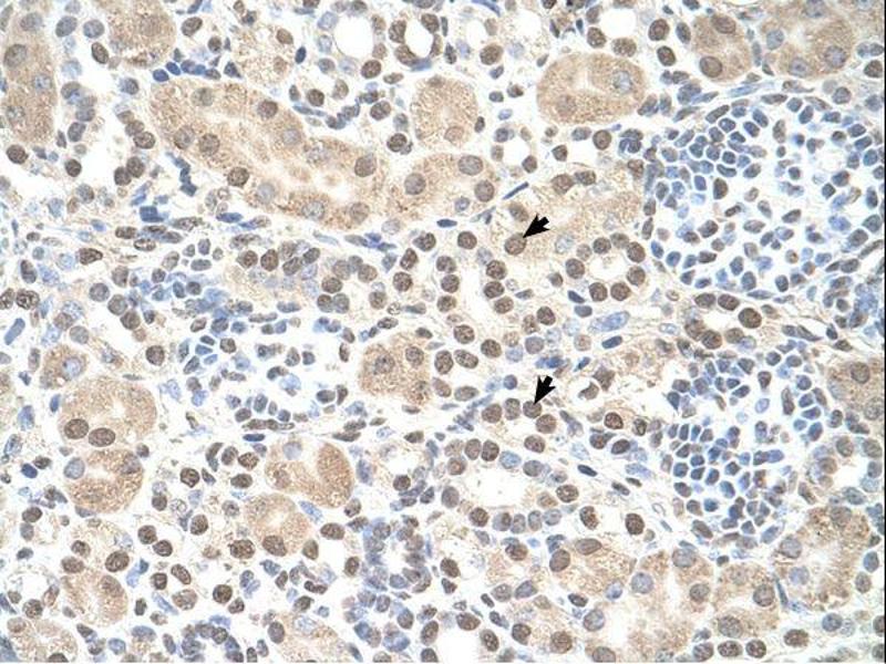
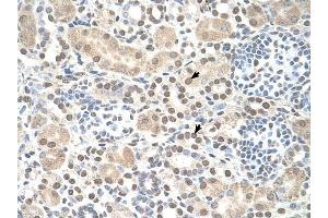
Application
-
-
Épitope
- C-Term
-
Specificité
- ST8 SIA2 antibody was raised against the C terminal of ST8 IA2
-
Purification
- Affinity purified
-
Immunogène
- ST8 SIA2 antibody was raised using the C terminal of ST8 IA2 corresponding to a region with amino acids TGLLMYTLATRFCKQIYLYGFWPFPLDQNQNPVKYHYYDSLKYGYTSQAS
-
-
-
-
Indications d'application
-
WB: 1 µg/mL, IHC: 4-8 µg/mL
Optimal conditions should be determined by the investigator. -
Commentaires
-
ST8SIA2 Blocking Peptide, (ABIN5616409), is also available for use as a blocking control in assays to test for specificity of this ST8SIA2 antibody
-
Restrictions
- For Research Use only
-
-
-
Format
- Lyophilized
-
Reconstitution
- Lyophilized powder. Add distilled water for a 1 mg/mL concentration of ST0 IA2 antibody in PBS
-
Concentration
- Lot specific
-
Buffer
- PBS
-
Conseil sur la manipulation
-
Avoid repeated freeze/thaw cycles.
Dilute only prior to immediate use. -
Stock
- 4 °C/-20 °C
-
Stockage commentaire
- Store at 2-8 °C for short periods. For longer periods of storage, store at -20 °C.
-
-
- ST8SIA2 (ST8 alpha-N-Acetyl-Neuraminide alpha-2,8-Sialyltransferase 2 (ST8SIA2))
-
Autre désignation
- ST8SIA2
-
Sujet
- ST8SIA2 is a type II membrane protein that is thought to catalyze the transfer of sialic acid from CMP-sialic acid to N-linked oligosaccharides and glycoproteins. ST8SIA2 may be found in the Golgi apparatus and may be involved in the production of polysialic acid, a modulator of the adhesive properties of neural cell adhesion molecule (NCAM1). This protein is a member of glycosyltransferase family 29.
-
Poids moléculaire
- 42 kDa (MW of target protein)
Antigène
-