Tel:
+49 (0)241 95 163 153
Fax:
+49 (0)241 95 163 155
E-Mail:
orders@anticorps-enligne.fr

OTUD3 anticorps (AA 192-220)

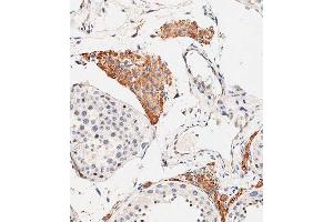
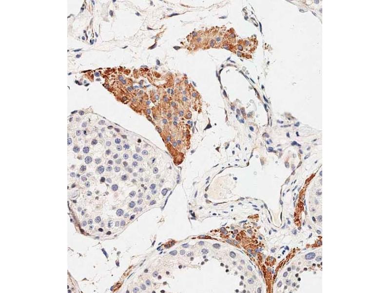
Cet anticorps anti-OTUD3 Polyclonal Lapin (Clone RB28198) (ABIN654984) détecte spécifiquement OTUD3 dans WB et IHC (p). L’anticorps est réactif avec des échantillons de Humain.
N° du produit ABIN654984
434,77 €
Plus frais de livraison 40,00 € et TVA
Destination: France
Envoi sous 14 à 17 jours ouvrables

Aperçu rapide pour OTUD3 anticorps (AA 192-220) (ABIN654984)

Antigène

OTUD3 (OTU Domain Containing 3 (OTUD3))

Reactivité

  • 14
  • 1
Humain

Hôte

  • 14
Lapin

Clonalité

  • 14
Polyclonal

Conjugué

  • 6
  • 2
  • 2
  • 2
  • 1
  • 1
Cet anticorp OTUD3 est non-conjugé

Application

  • 11
  • 10
  • 2
  • 1
  • 1
Western Blotting (WB), Immunohistochemistry (Paraffin-embedded Sections) (IHC (p))

Clone

RB28198
Vous êtes ici:
Chat with us!