Tel:
+49 (0)241 95 163 153
Fax:
+49 (0)241 95 163 155
E-Mail:
orders@anticorps-enligne.fr

TUBA1C anticorps (C-Term)

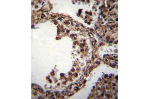
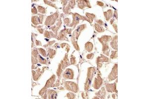
Il existe 1 publication pour ce produit. L’anticorps anti-TUBA1C Polyclonal Lapin est utilisé pour la détection de TUBA1C dans des échantillons de Humain, Souris et Rat. Il a été validé pour WB et IHC (p).
N° du produit ABIN655982
434,77 €
Plus frais de livraison 40,00 € et TVA
Destination: France
Envoi sous 14 à 17 jours ouvrables

Aperçu rapide pour TUBA1C anticorps (C-Term) (ABIN655982)

Antigène

Voir toutes TUBA1C Anticorps
TUBA1C (Tubulin, alpha 1c (TUBA1C))

Reactivité

  • 37
  • 16
  • 8
  • 2
  • 2
  • 2
  • 2
  • 2
  • 1
  • 1
  • 1
  • 1
  • 1
  • 1
  • 1
Humain, Souris, Rat

Hôte

  • 32
  • 7
Lapin

Clonalité

  • 32
  • 5
Polyclonal

Conjugué

  • 23
  • 3
  • 3
  • 2
  • 1
  • 1
  • 1
  • 1
  • 1
  • 1
  • 1
  • 1
Cet anticorp TUBA1C est non-conjugé

Application

  • 27
  • 21
  • 13
  • 3
  • 2
  • 1
  • 1
  • 1
Western Blotting (WB), Immunohistochemistry (Paraffin-embedded Sections) (IHC (p))

Clone

RB31971
  • Épitope

    • 7
    • 7
    • 6
    • 3
    • 2
    • 1
    • 1
    AA 414-441, C-Term

    Homologie

    X

    Purification

    This antibody is purified through a protein A column, followed by peptide affinity purification.

    Immunogène

    This TUBA1C antibody is generated from rabbits immunized with a KLH conjugated synthetic peptide between 414-441 amino acids from the C-terminal region of human TUBA1C.

    Isotype

    Ig Fraction
  • Indications d'application

    WB: 1:2000. WB: 1:1000. IHC-P: 1:25. IHC-P: 1:10~50

    Restrictions

    For Research Use only
  • Format

    Liquid

    Buffer

    Purified polyclonal antibody supplied in PBS with 0.09 % (W/V) sodium azide.

    Agent conservateur

    Sodium azide

    Précaution d'utilisation

    This product contains Sodium azide: a POISONOUS AND HAZARDOUS SUBSTANCE which should be handled by trained staff only.

    Stock

    4 °C,-20 °C

    Stockage commentaire

    Maintain refrigerated at 2-8 °C for up to 6 months. For long term storage store at -20 °C in small aliquots to prevent freeze-thaw cycles.

    Date de péremption

    6 months
  • Li, Li, Wang, Cui, Gong, Qu, Zhong, Zhou, Zhou, Gao, Li: "Quantitative proteomic study of human prostate cancer cells with different metastatic potentials." dans: International journal of oncology, Vol. 48, Issue 4, pp. 1437-46, (2016) (PubMed).

  • Antigène

    TUBA1C (Tubulin, alpha 1c (TUBA1C))

    Autre désignation

    TUBA1C

    Sujet

    Tubulin is the major constituent of microtubules. It binds two moles of GTP, one at an exchangeable site on the beta chain and one at a non-exchangeable site on the alpha-chain.

    Poids moléculaire

    49895

    ID gène

    84790

    NCBI Accession

    NP_116093

    UniProt

    Q9BQE3

    Pathways

    Dynamique des Microtubules, M Phase
Vous êtes ici:
Chat with us!