×
Pour une meilleure utilisation, nous vous conseillons d’activer Javascript dans votre navigateur.
SPNS3 anticorps (C-Term)
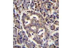
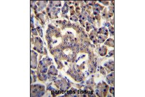
L’anticorps anti-SPNS3 Polyclonal Lapin est utilisé pour la détection de SPNS3 dans des échantillons de Humain. Il a été validé pour WB et IHC (p).
N° du produit ABIN656612
434,77 €
Plus frais de livraison 40,00 € et TVA
80 μL ABIN2845867
400 μL ABIN656612
80 μL ABIN2845867
400 μL ABIN656612
Envoi sous 14 à 17 jours ouvrables
Aperçu rapide pour SPNS3 anticorps (C-Term) (ABIN656612)
Antigène
Voir toutes SPNS3 Anticorps
SPNS3
(Spinster Homolog 3 (SPNS3))
Reactivité
Toutes les réactivités sur SPNS3 Anticorps
Humain
Hôte
Toutes les hôtes sur SPNS3 Anticorps
Lapin
Clonalité
Toutes les clonalités sur SPNS3 Anticorps
Polyclonal
Conjugué
Tous les conjugués à travers SPNS3 Anticorps
Cet anticorp SPNS3 est non-conjugé
Application
Tous les applications à travers SPNS3 Anticorps.
Western Blotting (WB), Immunohistochemistry (Paraffin-embedded Sections) (IHC (p))
Clone
RB31494
Détail du produit anti-SPNS3 anticorps
(cache)
Épitope
Tous les épitopes à travers SPNS3 Anticorps.
AA 470-498, C-Term
Purification
This antibody is purified through a protein A column, followed by peptide affinity purification.
Immunogène
This SPNS3 antibody is generated from rabbits immunized with a KLH conjugated synthetic peptide between 470-498 amino acids from the C-terminal region of human SPNS3.
Isotype
Ig Fraction
Alternatives
(show)
Information d'application
(cache)
Indications d'application
WB: 1:1000. IHC-P: 1:10~50
Restrictions
For Research Use only
Stockage
(cache)
Format
Liquid
Buffer
Purified polyclonal antibody supplied in PBS with 0.09 % (W/V) sodium azide.
Agent conservateur
Sodium azide
Précaution d'utilisation
This product contains Sodium azide: a POISONOUS AND HAZARDOUS SUBSTANCE which should be handled by trained staff only.
Stock
4 °C,-20 °C
Stockage commentaire
SPNS3 Antibody (C-term) can be refrigerated at 2-8 °C for up to 6 months. For long term storage, place the at -20 °C.
Date de péremption
6 months
Détails sur SPNS3
(cache)
Antigène
SPNS3
(Spinster Homolog 3 (SPNS3))
Autre désignation
SPNS3
Sujet
SPNS3 is a sphingolipid transporter (By similarity).
Poids moléculaire
54769
ID gène
201305
NCBI Accession
NP_872344
UniProt
Q6ZMD2
Vus récemment
(cache)
Chat with us , powered by LiveChat