Tel:
+49 (0)241 95 163 153
Fax:
+49 (0)241 95 163 155
E-Mail:
orders@anticorps-enligne.fr

Ezrin anticorps

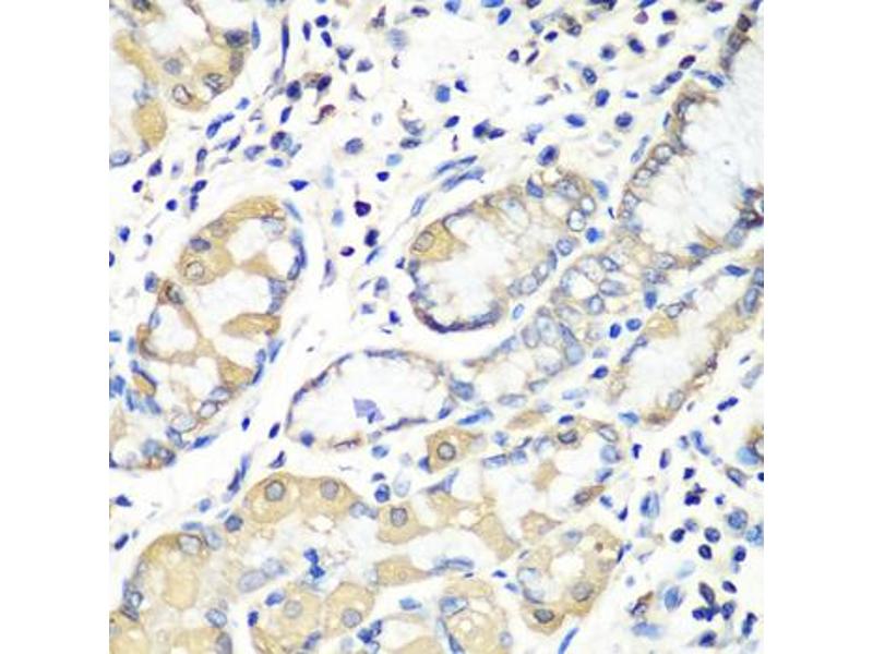
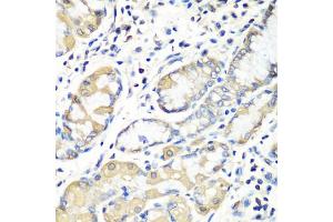
Cet anticorps anti-Ezrin Polyclonal Lapin (ABIN5964745) détecte spécifiquement Ezrin dans WB et IHC. L’anticorps est réactif avec des échantillons de Humain, Souris et Rat.
N° du produit ABIN5964745
279,00 €
Plus frais de livraison 40,00 € et TVA
Destination: France
Envoi sous 10 à 13 jours ouvrables

Aperçu rapide pour Ezrin anticorps (ABIN5964745)

Antigène

Voir toutes Ezrin (EZR) Anticorps
Ezrin (EZR)

Reactivité

  • 167
  • 84
  • 77
  • 8
  • 8
  • 7
  • 5
  • 4
  • 4
  • 3
  • 3
  • 1
  • 1
  • 1
  • 1
Humain, Souris, Rat

Hôte

  • 147
  • 22
  • 2
  • 1
Lapin

Clonalité

  • 128
  • 44
Polyclonal

Conjugué

  • 100
  • 8
  • 5
  • 4
  • 4
  • 4
  • 4
  • 4
  • 4
  • 3
  • 2
  • 2
  • 2
  • 2
  • 2
  • 2
  • 2
  • 2
  • 2
  • 2
  • 2
  • 1
  • 1
  • 1
  • 1
  • 1
  • 1
  • 1
  • 1
  • 1
  • 1
Cet anticorp Ezrin est non-conjugé

Application

  • 142
  • 59
  • 52
  • 19
  • 16
  • 15
  • 13
  • 13
  • 11
  • 10
  • 9
  • 3
  • 2
  • 2
  • 1
  • 1
  • 1
  • 1
  • 1
  • 1
  • 1
  • 1
Western Blotting (WB), Immunohistochemistry (IHC)
  • Purification

    Affinity purification

    Immunogène

    Recombinant protein of human EZR

    Isotype

    IgG
  • Indications d'application

    WB 1:500 - 1:2000 IHC 1:50 - 1:100

    Restrictions

    For Research Use only
  • Concentration

    1 mg/mL

    Buffer

    Buffer: PBS with 0.02 % sodium azide, 50 % glycerol,  pH 7.3.

    Agent conservateur

    Sodium azide

    Précaution d'utilisation

    This product contains Sodium azide: a POISONOUS AND HAZARDOUS SUBSTANCE which should be handled by trained staff only.

    Stock

    -20 °C

    Stockage commentaire

    Store at -20°C. Avoid freeze / thaw cycles.
  • Antigène

    Ezrin (EZR)

    Autre désignation

    EZR

    Sujet

    Synonyms: Villin 2 ezrin,CVIL,CVL,Cytovillin 2,Cytovillin,DKFZp762H157,Epididymis secretory protein Li 105,EZR,EZRI,Ezrin,FLJ26216,HEL S 105,MGC1584,p81,VIL 2,VIL2,Villin 2 (ezrin),Villin 2,Villin-2,Villin2

    Background: The cytoplasmic peripheral membrane protein encoded by this gene functions as a protein-tyrosine kinase substrate in microvilli. As a member of the ERM protein family, this protein serves as an intermediate between the plasma membrane and the actin cytoskeleton. This protein plays a key role in cell surface structure adhesion, migration and organization, and it has been implicated in various human cancers. A pseudogene located on chromosome 3 has been identified for this gene. Alternatively spliced variants have also been described for this gene.

    Poids moléculaire

    Observed_MW: 90kDa

    Calculated_MW: 69kDa

    ID gène

    7430

    UniProt

    P15311

    Pathways

    Maintenance of Protein Location
Vous êtes ici:
Chat with us!