Tel:
+49 (0)241 95 163 153
Fax:
+49 (0)241 95 163 155
E-Mail:
orders@anticorps-enligne.fr

SIM1 anticorps (N-Term)

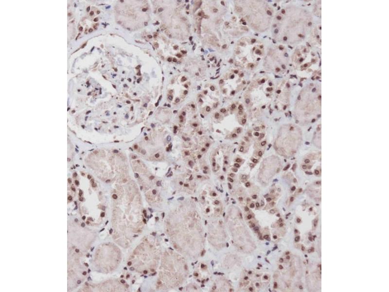
Cet anticorps Lapin Polyclonal détecte spécifiquement SIM1 dans WB et IHC (p). Il présente une réactivité avec des échantillons de Humain.
N° du produit ABIN656884
434,77 €
Plus frais de livraison 40,00 € et TVA
Destination: France
Envoi sous 14 à 17 jours ouvrables

Aperçu rapide pour SIM1 anticorps (N-Term) (ABIN656884)

Antigène

Voir toutes SIM1 Anticorps
SIM1 (Single-Minded Homolog 1 (SIM1))

Reactivité

  • 19
  • 3
  • 3
  • 3
  • 3
  • 3
  • 3
  • 2
  • 2
  • 2
  • 1
  • 1
  • 1
Humain

Hôte

  • 19
  • 1
Lapin

Clonalité

  • 20
Polyclonal

Conjugué

  • 12
  • 2
  • 2
  • 2
  • 1
  • 1
Cet anticorp SIM1 est non-conjugé

Application

  • 14
  • 12
  • 11
  • 3
  • 1
  • 1
  • 1
Western Blotting (WB), Immunohistochemistry (Paraffin-embedded Sections) (IHC (p))

Clone

RB32160
  • Épitope

    • 10
    • 5
    • 4
    • 1
    • 1
    • 1
    AA 1-30, N-Term

    Homologie

    Zf, M, D

    Purification

    This antibody is purified through a protein A column, followed by peptide affinity purification.

    Immunogène

    This SIM1 antibody is generated from rabbits immunized with a KLH conjugated synthetic peptide between 1-30 amino acids from the N-terminal region of human SIM1.

    Isotype

    Ig Fraction
  • Indications d'application

    WB: 1:1000. WB: 1:2000. IHC-P-Leica: 1:250. IHC-P-Leica: 1:250

    Restrictions

    For Research Use only
  • Format

    Liquid

    Buffer

    Purified polyclonal antibody supplied in PBS with 0.09 % (W/V) sodium azide.

    Agent conservateur

    Sodium azide

    Précaution d'utilisation

    This product contains Sodium azide: a POISONOUS AND HAZARDOUS SUBSTANCE which should be handled by trained staff only.

    Stock

    4 °C,-20 °C

    Stockage commentaire

    SIM1 Antibody (N-term) can be refrigerated at 2-8 °C for up to 6 months. For long term storage, place the at -20 °C.

    Date de péremption

    6 months
  • Antigène

    SIM1 (Single-Minded Homolog 1 (SIM1))

    Autre désignation

    SIM1

    Sujet

    SIM1 and SIM2 genes are Drosophila single-minded (sim) gene homologs. SIM1 transcript was detected only in fetal kidney out of various adult and fetal tissues tested. Since the sim gene plays an important role in Drosophila development and has peak levels of expression during the period of neurogenesis,it was proposed that the human SIM gene is a candidate for involvement in certain dysmorphic features (particularly the facial and skull characteristics), abnormalities of brain development, and/or mental retardation of Down syndrome.

    ID gène

    6492

    NCBI Accession

    NP_005059

    UniProt

    P81133
Vous êtes ici:
Chat with us!