Tel:
+49 (0)241 95 163 153
Fax:
+49 (0)241 95 163 155
E-Mail:
orders@anticorps-enligne.fr

RHBDF2 anticorps (N-Term)

Cet anticorps Lapin Polyclonal validé indépendamment détecte spécifiquement RHBDF2 dans WB et IHC (p). Il présente une réactivité avec des échantillons de Humain et Souris.
N° du produit ABIN657511
467,50 €
Plus frais de livraison 40,00 € et TVA
Destination: France
Envoi sous 14 à 17 jours ouvrables

Aperçu rapide pour RHBDF2 anticorps (N-Term) (ABIN657511)

Antigène

Voir toutes RHBDF2 Anticorps
RHBDF2 (Rhomboid 5 Homolog 2 (RHBDF2))

Reactivité

Humain, Souris

Hôte

  • 18
Lapin

Clonalité

  • 18
Polyclonal

Conjugué

  • 9
  • 3
  • 2
  • 2
  • 1
  • 1
Cet anticorp RHBDF2 est non-conjugé

Application

  • 13
  • 13
  • 12
  • 1
  • 1
  • 1
  • 1
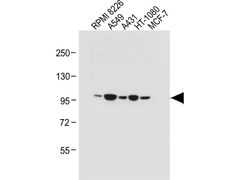
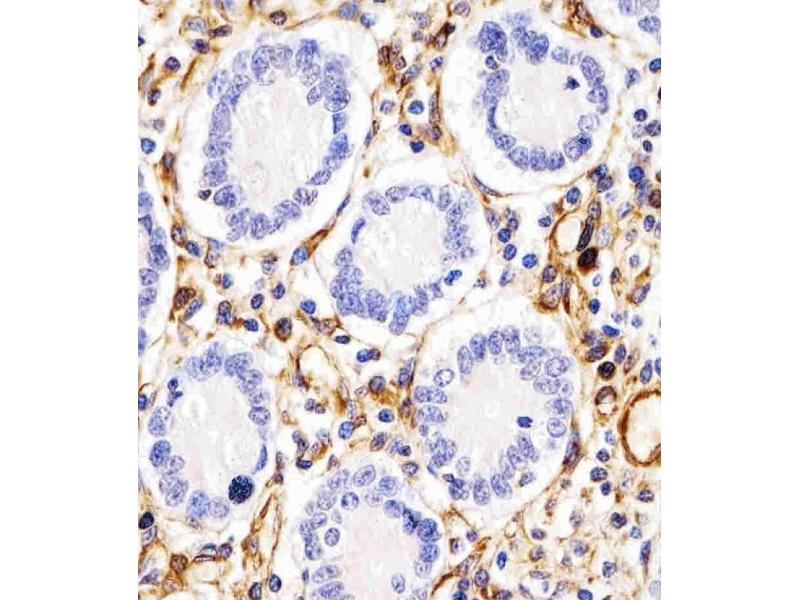
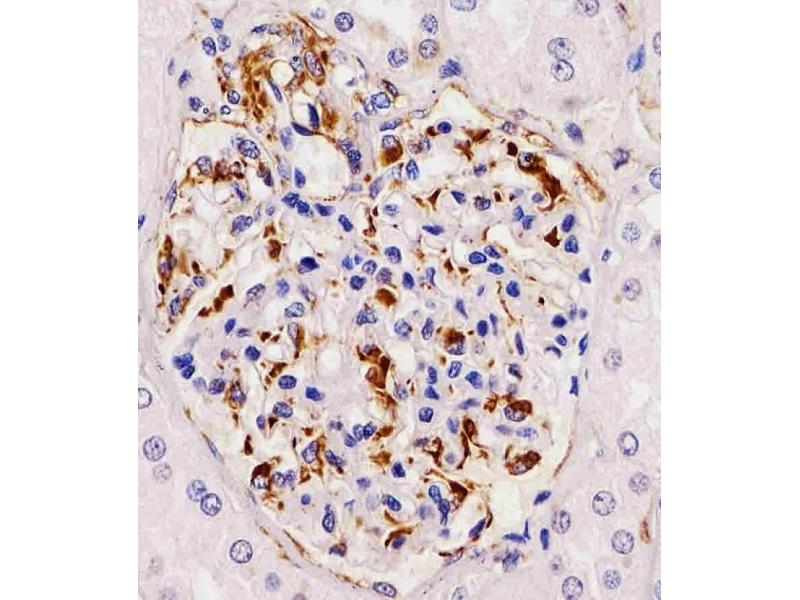
Western Blotting (WB), Immunohistochemistry (Paraffin-embedded Sections) (IHC (p))

Clone

RB32834
  • Épitope

    • 8
    • 5
    • 5
    • 2
    • 2
    • 1
    AA 80-109, N-Term

    Purification

    This antibody is purified through a protein A column, followed by peptide affinity purification.

    Immunogène

    This RHBDF2 antibody is generated from rabbits immunized with a KLH conjugated synthetic peptide between 80-109 amino acids from the N-terminal region of human RHBDF2.

    Isotype

    IgG
  • Indications d'application

    WB: 1:2000. WB: 1:2000. WB: 1:1000. IHC-P: 1:25. IHC-P: 1:25

    Restrictions

    For Research Use only
  • Validation #104634 (Western Blotting)
    'Independent Validation' signe
    by
    Prof. Ludwig
    No.
    #104634
    Date
    19.01.2026
    Antigène
    RHBDF2
    Numéro du lot
    SA180724YE
    Application validée
    Western Blotting
    Contrôle positif

    Overexpressed human and murine iRhom2.

    Contrôle négative

    HEK293 iRhom1/iRhom2 double knockout.

    Conclusion

    The iRhom2 antibody ABIN2846535 works in WB at a 1:1000 dilution to detect overexpressed human iRhom2. Non-specific bands are also detected.

    'Independent Validation' signe
    Validation Images
    Protocole
    Anticorps primaire
    ABIN2846535
    Anticorps secondaire
    Full Protocol
    • Lyse HEK293 cells with lysis buffer (50 mM Tris, 137 mM NaCl, 2 mM EDTA, and 10 mM 1,10-Phenanthroline, adjusted to pH 7.5 and supplemented with 1% Triton X-100 (Sigma-Aldrich) and cOmplete™ protease inhibitor cocktail (Sigma-Aldrich)) for 40 min at 4°C.
    • Clear lysates by centrifugation at 20,000 rpm for 20 min at 4°C.
    • Denature samples with reducing Lämmli buffer (3% (w/v) SDS, 16% glycerol, 8% 2-mercaptoethanol, 0.01% (w/v) bromophenol blue, and 0.1 M Tris-HCl at pH 6.8) for 20 min at 60°C.
    • Separate protein samples on a denaturing 12% SDS-PAGE gel alongside a PageRuler™ Plus Prestained Protein Ladder (Thermo Fisher, 26619).
    • Wet the Immobilon®-FL PVDF membrane (0.45 µm pore size) (Millipore, IPFL00010) in methanol for 30 sec.
    • Wash membrane once with Milli-Q® water for 1 min.
    • Electro-transfer proteins onto Immobilon®-FL PVDF membrane (0.45 µm pore size) (Millipore, IPFL00010) at 100 V for 2 h, cooled on ice.
    • Air dry the blot.
    • Wet the Immobilon®-FL PVDF membrane again in methanol for 30 sec.
    • Wash membrane once with Milli-Q® water for 1 min.
    • Block membrane with TBST (TBS + 0.1% Tween-20; TBS = 50 mM Tris, 150 mM NaCl, pH 7.4) containing 5% non-fat dry milk for 20 min at room temperature.
    • Wash membrane 3× for 10 min with TBST.
    • Incubate membrane with primary rabbit anti-iRhom2 antibody (antibodies-online, ABIN2846535, lot SA180724YE) diluted 1:1,000 in TBST containing 1% BSA overnight at 4°C.
    • Wash membrane 3× for 10 min with TBST.
    • Incubate membrane with secondary donkey anti-rabbit IgG (H+L), highly cross-adsorbed, Alexa Fluor™ Plus 800 (Thermo Fisher, A32808) diluted 1:100,000 in TBST containing 1% BSA for 1 h at room temperature.
    • Wash membrane 1× for 10 min with TBST and 2× for 10 min with TBS.
    • Detect stained proteins via fluorescence using the Odyssey 9120 imager system (LI-COR).
    Notes
    • Human or murine iRhom2 (lanes 3 and 4) were overexpressed using the pMOWS vector via stable transduction with retroviruses produced by Phoenix Ampho cells, as described in Düsterhöft et al. 2021.
    • iRhom1/iRhom2 double-knockout HEK293 cells were generated using the CRISPR-Cas9 system.
    • No endogenous human iRhom2 was detected in the lysate of HEK293 cells (lane 1).
    • Human iRhom2 was successfully detected in iRhom1/iRhom2 double-knockout HEK293 cells overexpressing human iRhom2 (lane 3).
    • Overexpressed murine iRhom2 in iRhom1/iRhom2 double-knockout HEK293 cells was detected at substantially lower levels than overexpressed human iRhom2 (lane 4).
    • Non-specific bands were also detected.
  • Format

    Liquid

    Buffer

    Purified polyclonal antibody supplied in PBS with 0.09 % (W/V) sodium azide.

    Agent conservateur

    Sodium azide

    Précaution d'utilisation

    This product contains Sodium azide: a POISONOUS AND HAZARDOUS SUBSTANCE which should be handled by trained staff only.

    Stock

    4 °C,-20 °C

    Stockage commentaire

    RHBDF2 Antibody (N-term) can be refrigerated at 2-8 °C for up to 6 months. For long term storage, place the at -20 °C.

    Date de péremption

    6 months
  • Antigène

    RHBDF2 (Rhomboid 5 Homolog 2 (RHBDF2))

    Autre désignation

    RHBDF2

    Sujet

    Not expected to have protease activity (By similarity).

    Poids moléculaire

    96686

    ID gène

    79651

    NCBI Accession

    NP_001005498, NP_078875

    UniProt

    Q6PJF5

    Pathways

    Growth Factor Binding
Vous êtes ici:
Chat with us!