Tel:
+49 (0)241 95 163 153
Fax:
+49 (0)241 95 163 155
E-Mail:
orders@anticorps-enligne.fr

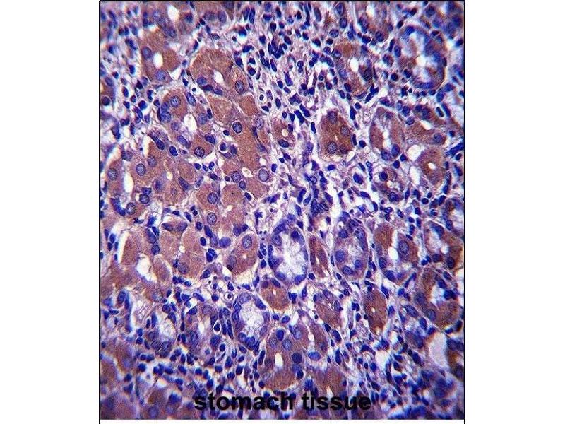
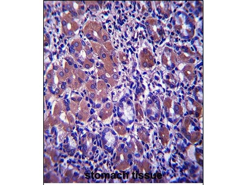
B4GALNT3 anticorps (AA 555-584)

L’anticorps anti-B4GALNT3 Polyclonal Lapin est utilisé pour la détection de B4GALNT3 dans des échantillons de Humain. Il a été validé pour WB et IHC (p).
N° du produit ABIN657581
434,77 €
Plus frais de livraison 40,00 € et TVA
Destination: France
Envoi sous 14 à 17 jours ouvrables

Aperçu rapide pour B4GALNT3 anticorps (AA 555-584) (ABIN657581)

Antigène

B4GALNT3 (beta-1,4-N-Acetyl-Galactosaminyl Transferase 3 (B4GALNT3))

Reactivité

  • 13
  • 4
  • 2
  • 1
  • 1
  • 1
  • 1
  • 1
  • 1
Humain

Hôte

  • 12
  • 1
Lapin

Clonalité

  • 13
Polyclonal

Conjugué

  • 8
  • 1
  • 1
  • 1
  • 1
  • 1
Cet anticorp B4GALNT3 est non-conjugé

Application

  • 12
  • 9
  • 7
Western Blotting (WB), Immunohistochemistry (Paraffin-embedded Sections) (IHC (p))

Clone

RB33356
Vous êtes ici:
Chat with us!