Tel:
+49 (0)241 95 163 153
Fax:
+49 (0)241 95 163 155
E-Mail:
orders@anticorps-enligne.fr

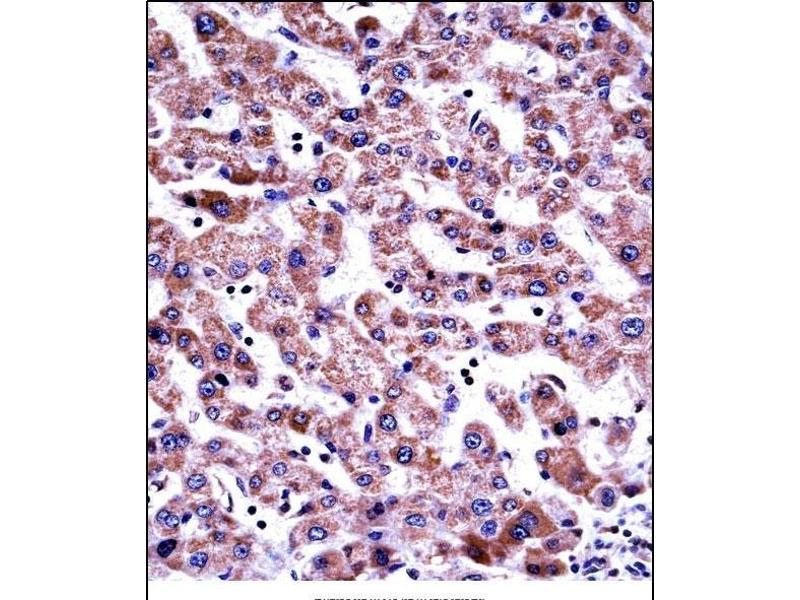
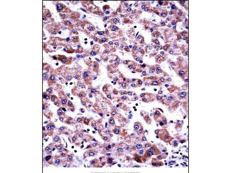
GDI2 anticorps (AA 135-164)

Cet anticorps Lapin Polyclonal détecte spécifiquement GDI2 dans WB et IHC (p). Il présente une réactivité avec des échantillons de Humain.
N° du produit ABIN657709
434,77 €
Plus frais de livraison 40,00 € et TVA
Destination: France
Envoi sous 14 à 17 jours ouvrables

Aperçu rapide pour GDI2 anticorps (AA 135-164) (ABIN657709)

Antigène

Voir toutes GDI2 Anticorps
GDI2 (GDP Dissociation Inhibitor 2 (GDI2))

Reactivité

  • 42
  • 8
  • 5
  • 4
  • 3
  • 2
  • 2
  • 2
  • 2
  • 1
  • 1
  • 1
  • 1
Humain

Hôte

  • 41
  • 1
Lapin

Clonalité

  • 41
  • 1
Polyclonal

Conjugué

  • 20
  • 6
  • 4
  • 4
  • 1
  • 1
  • 1
  • 1
  • 1
  • 1
  • 1
  • 1
Cet anticorp GDI2 est non-conjugé

Application

  • 28
  • 24
  • 18
  • 7
  • 4
  • 1
Western Blotting (WB), Immunohistochemistry (Paraffin-embedded Sections) (IHC (p))

Clone

RB33933
  • Épitope

    • 6
    • 6
    • 5
    • 5
    • 2
    • 1
    • 1
    • 1
    • 1
    • 1
    • 1
    AA 135-164

    Purification

    This antibody is purified through a protein A column, followed by peptide affinity purification.

    Immunogène

    This GDI2 antibody is generated from rabbits immunized with a KLH conjugated synthetic peptide between 135-164 amino acids from the Central region of human GDI2.

    Isotype

    IgG
  • Indications d'application

    WB: 1:1000. IHC-P: 1:10~50

    Restrictions

    For Research Use only
  • Format

    Liquid

    Buffer

    Purified polyclonal antibody supplied in PBS with 0.09 % (W/V) sodium azide.

    Agent conservateur

    Sodium azide

    Précaution d'utilisation

    This product contains Sodium azide: a POISONOUS AND HAZARDOUS SUBSTANCE which should be handled by trained staff only.

    Stock

    4 °C,-20 °C

    Stockage commentaire

    GDI2 Antibody (Center) can be refrigerated at 2-8 °C for up to 6 months. For long term storage, place the at -20 °C.

    Date de péremption

    6 months
  • Antigène

    GDI2 (GDP Dissociation Inhibitor 2 (GDI2))

    Autre désignation

    GDI2

    Sujet

    GDP dissociation inhibitors are proteins that regulate the GDP-GTP exchange reaction of members of the rab family, small GTP-binding proteins of the ras superfamily, that are involved in vesicular trafficking of molecules between cellular organelles. GDIs slow the rate of dissociation of GDP from rab proteins and release GDP from membrane-bound rabs. GDI2 is ubiquitously expressed. The GDI2 gene contains many repetitive elements indicating that it may be prone to inversion/deletion rearrangements. Alternative splicing results in multiple transcript variants encoding distinct isoforms.

    Poids moléculaire

    50663

    ID gène

    2665

    NCBI Accession

    NP_001108628, NP_001485

    UniProt

    P50395
Vous êtes ici:
Chat with us!