Tel:
+49 (0)241 95 163 153
Fax:
+49 (0)241 95 163 155
E-Mail:
orders@anticorps-enligne.fr

HRASLS5 anticorps (AA 100-129)

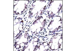
Cet anticorps Lapin Polyclonal détecte spécifiquement HRASLS5 dans WB et IHC (p). Il présente une réactivité avec des échantillons de Humain.
N° du produit ABIN657802
434,77 €
Plus frais de livraison 40,00 € et TVA
Destination: France
Envoi sous 14 à 17 jours ouvrables

Aperçu rapide pour HRASLS5 anticorps (AA 100-129) (ABIN657802)

Antigène

HRASLS5 (HRAS-Like Suppressor Family, Member 5 (HRASLS5))

Reactivité

  • 10
  • 1
Humain

Hôte

  • 9
  • 1
Lapin

Clonalité

  • 9
  • 1
Polyclonal

Conjugué

  • 5
  • 1
  • 1
  • 1
  • 1
  • 1
Cet anticorp HRASLS5 est non-conjugé

Application

  • 9
  • 9
  • 7
Western Blotting (WB), Immunohistochemistry (Paraffin-embedded Sections) (IHC (p))

Clone

RB33995
Vous êtes ici:
Chat with us!