Tel:
+49 (0)241 95 163 153
Fax:
+49 (0)241 95 163 155
E-Mail:
orders@anticorps-enligne.fr

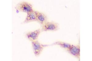
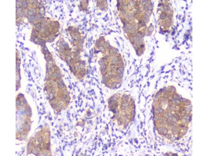
SMN1 / SMN2 anticorps

Cet anticorps anti-SMN1 / SMN2 Monoclonal Souris (Clone 2B10) (ABIN6654200) détecte spécifiquement SMN1 / SMN2 dans WB, ICC et IHC (p). L’anticorps est réactif avec des échantillons de Humain.
N° du produit ABIN6654200
644,88 €
Plus frais de livraison 40,00 € et TVA
100 μg
Destination: France
Envoi sous 6 à 9 jours ouvrables

Aperçu rapide pour SMN1 / SMN2 anticorps (ABIN6654200)

Antigène

SMN1 / SMN2

Reactivité

Humain

Hôte

  • 3
  • 1
  • 1
Souris

Clonalité

  • 3
  • 2
Monoclonal

Conjugué

  • 5
Inconjugué

Application

  • 5
  • 1
  • 1
  • 1
  • 1
Western Blotting (WB), Immunocytochemistry (ICC), Immunohistochemistry (Paraffin-embedded Sections) (IHC (p))

Clone

2B10
  • Purification

    Protein G affinity

    Immunogène

    Amino acids RRGTGQSDDSDIWDDTALIKAYDKAVASFKH were used as the immunogen for the SMN1/2 antibody.

    Isotype

    IgG1
  • Indications d'application

    Optimal dilution of the SMN1/2 antibody should be determined by the researcher.\. Western blot: 0.5-1 μg/mL,IHC (FFPE): 0.5-1 μg/mL,ICC: 0.5-1 μg/mL

    Restrictions

    For Research Use only
  • Buffer

    0.5 mg/mL if reconstituted with 0.2 mL sterile DI water

    Stock

    -20 °C

    Stockage commentaire

    After reconstitution, the SMN1/2 antibody can be stored for up to one month at 4°C. For long-term, aliquot and store at -20°C. Avoid repeated freezing and thawing.
  • Antigène

    SMN1 / SMN2

    Autre désignation

    SMN1/2

    Sujet

    This gene is part of a 500 kb inverted duplication on chromosome 5q13. This duplicated region contains at least four genes and repetitive elements which make it prone to rearrangements and deletions. The repetitiveness and complexity of the sequence have also caused difficulty in determining the organization of this genomic region. The telomeric and centromeric copies of this gene are nearly identical and encode the same protein. However, mutations in this gene, the telomeric copy, are associated with spinal muscular atrophy, mutations in the centromeric copy do not lead to disease. The centromeric copy may be a modifier of disease caused by mutation in the telomeric copy. The critical sequence difference between the two genes is a single nucleotide in exon 7, which is thought to be an exon splice enhancer. Note that the nine exons of both the telomeric and centromeric copies are designated historically as exon 1, 2a, 2b, and 3-8. It is thought that gene conversion events may involve the two genes, leading to varying copy numbers of each gene. The protein encoded by this gene localizes to both the cytoplasm and the nucleus. Within the nucleus, the protein localizes to subnuclear bodies called gems which are found near coiled bodies containing high concentrations of small ribonucleoproteins (snRNPs). This protein forms heteromeric complexes with proteins such as SIP1 and GEMIN4, and also interacts with several proteins known to be involved in the biogenesis of snRNPs, such as hnRNP U protein and the small nucleolar RNA binding protein. Multiple transcript variants encoding distinct isoforms have been described.

    UniProt

    Q16637
Vous êtes ici:
Chat with us!