Tel:
+49 (0)241 95 163 153
Fax:
+49 (0)241 95 163 155
E-Mail:
orders@anticorps-enligne.fr

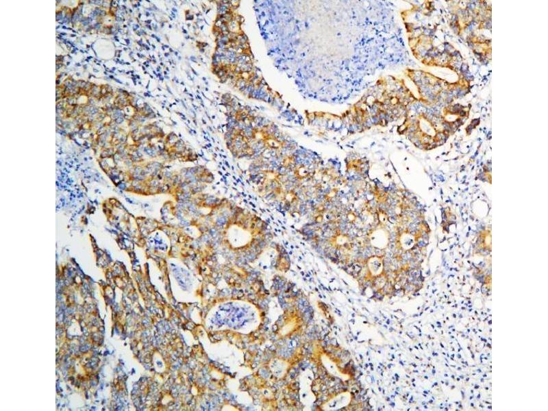
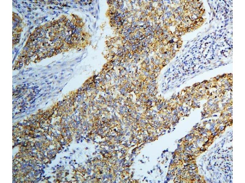
DARS2 anticorps (AA 334-448)

L’anticorps anti-DARS2 Polyclonal Lapin est utilisé pour la détection de DARS2 dans des échantillons de Humain. Il a été validé pour WB, IHC, ELISA, ICC, IF et FACS.
N° du produit ABIN6719279
500,50 €
Plus frais de livraison 40,00 € et TVA
100 μg
Destination: France
Envoi sous 8 à 12 jours ouvrables

Aperçu rapide pour DARS2 anticorps (AA 334-448) (ABIN6719279)

Antigène

Voir toutes DARS2 Anticorps
DARS2 (Aspartyl-tRNA Synthetase 2, Mitochondrial (DARS2))

Reactivité

  • 32
  • 16
  • 4
Humain

Hôte

  • 31
  • 2
Lapin

Clonalité

  • 33
Polyclonal

Conjugué

  • 15
  • 3
  • 2
  • 2
  • 1
  • 1
  • 1
  • 1
  • 1
  • 1
  • 1
  • 1
  • 1
  • 1
  • 1
Cet anticorp DARS2 est non-conjugé

Application

  • 13
  • 13
  • 12
  • 10
  • 7
  • 4
  • 3
  • 3
  • 1
  • 1
Western Blotting (WB), Immunohistochemistry (IHC), ELISA, Immunocytochemistry (ICC), Immunofluorescence (IF), Flow Cytometry (FACS)
  • Épitope

    • 15
    • 5
    • 4
    • 1
    • 1
    • 1
    • 1
    • 1
    AA 334-448

    Fonction

    Anti-DARS2 Antibody

    Réactivité croisée (Details)

    No cross-reactivity with other proteins.

    Attributs du produit

    Anti-DARS2 Antibody (ABIN6719279). Tested in ELISA, Flow Cytometry, IF, IHC, ICC, WB applications. This antibody reacts with Human. This is a premium antibody that guarantees superior quality, high affinity, and strong signals with minimal background in Western blot applications.

    Purification

    Immunogen affinity purified.

    Immunogène

    E.coli-derived human DARS2 recombinant protein (Position: D334-A448).

    Isotype

    IgG
  • Indications d'application

    Western blot, 0.1-0.5 μg/mL
    Immunohistochemistry (Paraffin-embedded Section), 0.5-1 μg/mL
    Immunocytochemistry/Immunofluorescence, 2 μg/mL
    Flow Cytometry (Fixed), 1-3 μg/1x106 cells ELISA, 0.1-0.5 μg/mL

    Commentaires

    Tested Species: In-house tested species with positive results. By Heat: Boiling the paraffin sections in 10mM citrate buffer, pH6.0, for 20mins is required for the staining of formalin/paraffin sections. Other applications have not been tested. Optimal dilutions should be determined by end users.

    Restrictions

    For Research Use only
  • Format

    Lyophilized

    Reconstitution

    Add 0.2 mL of distilled water will yield a concentration of 500 μg/mL.

    Concentration

    500 μg/mL

    Buffer

    Each vial contains 4 mg Trehalose, 0.9 mg NaCl, 0.2 mg Na2HPO4, 0.05 mg Sodium azide.

    Agent conservateur

    Sodium azide

    Précaution d'utilisation

    This product contains Sodium azide: a POISONOUS AND HAZARDOUS SUBSTANCE which should be handled by trained staff only.

    Stock

    4 °C,-20 °C

    Stockage commentaire

    Store at -20°C for one year from date of receipt. After reconstitution, at 4°C for one month.
    It can also be aliquotted and stored frozen at -20°C for six months. Avoid repeated freeze-thaw cycles.
  • Antigène

    DARS2 (Aspartyl-tRNA Synthetase 2, Mitochondrial (DARS2))

    Autre désignation

    DARS2

    Sujet

    Synonyms: Aspartate--tRNA ligase, mitochondrial, Aspartyl-tRNA synthetase, AspRS, DARS2

    Tissue Specificity: Detected in brain. Detected at very much lower levels in heart, lung, placenta and skeletal muscle. Highly expressed in cerebellum, but also found in frontal cortex, hippocampus and basal ganglia.

    Background: DARS2 contains conserved residues involved in ATP binding, tRNA binding, and aspartic acid recognition, as well as catalytic site motifs characteristic of amino acid tRNA synthetases. The protein encoded by this gene belongs to the class-II aminoacyl-tRNA synthetase family. It is a mitochondrial enzyme that specifically aminoacylates aspartyl-tRNA. Mutations in this gene are associated with leukoencephalopathy with brainstem and spinal cord involvement and lactate elevation (LBSL). The International Radiation Hybrid Mapping Consortium mapped the DARS2 gene to chromosome 1.

    Poids moléculaire

    74 kDa

    ID gène

    55157
Vous êtes ici:
Chat with us!