Tel:
+49 (0)241 95 163 153
Fax:
+49 (0)241 95 163 155
E-Mail:
orders@anticorps-enligne.fr

RAB11B anticorps

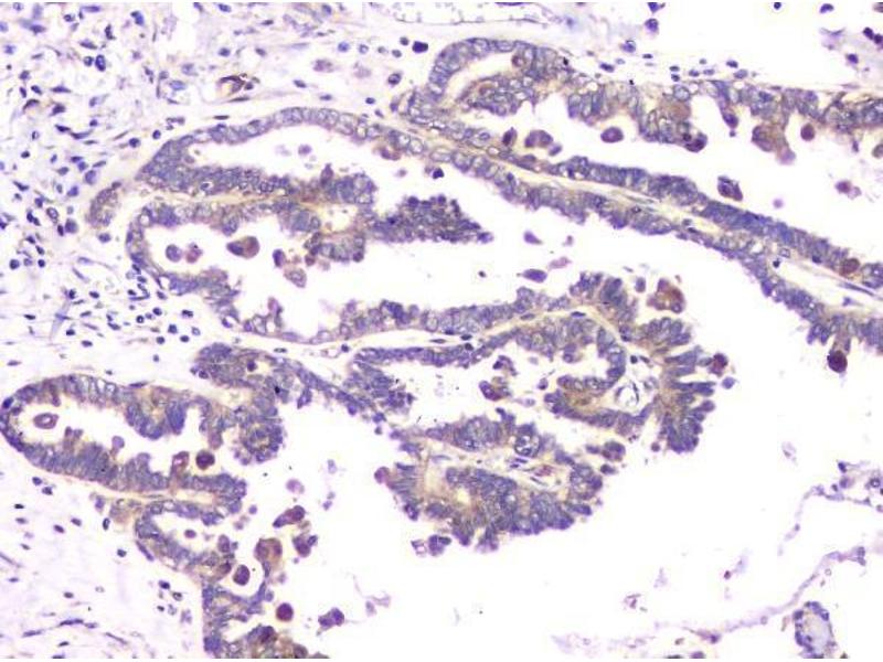
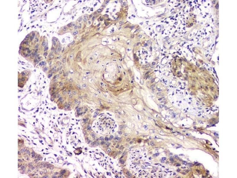
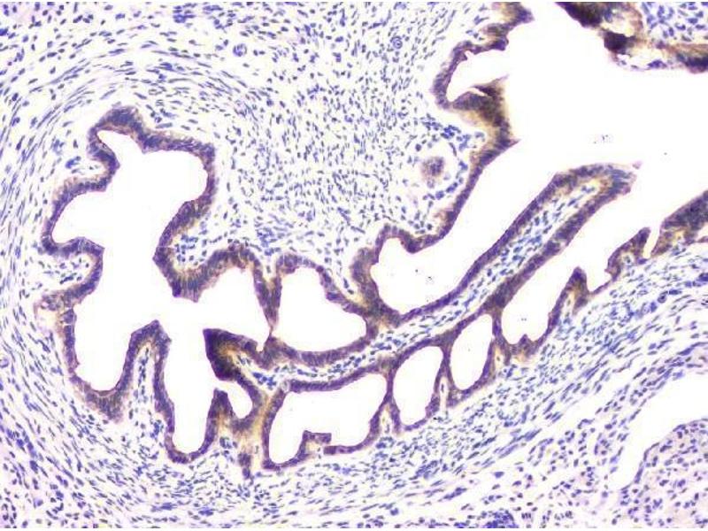
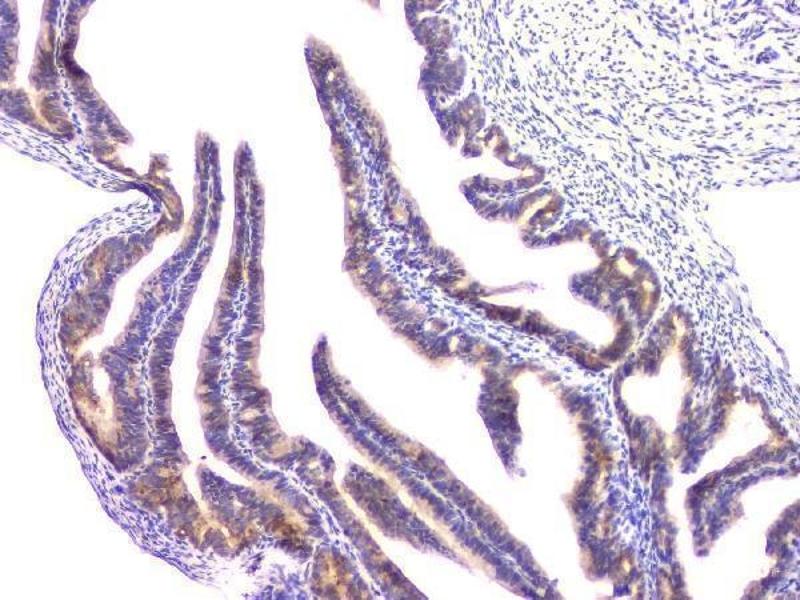
Cet anticorps anti-RAB11B Polyclonal Lapin (ABIN6719364) détecte spécifiquement RAB11B dans WB, IHC, ICC, IHC (fro) et FACS. L’anticorps est réactif avec des échantillons de Humain, Souris et Rat.
N° du produit ABIN6719364
500,50 €
Plus frais de livraison 40,00 € et TVA
100 μg
Destination: France
Envoi sous 8 à 12 jours ouvrables

Aperçu rapide pour RAB11B anticorps (ABIN6719364)

Antigène

Voir toutes RAB11B Anticorps
RAB11B (RAB11B, Member RAS Oncogene Family (RAB11B))

Reactivité

  • 25
  • 13
  • 11
  • 3
  • 3
  • 3
  • 3
  • 2
  • 2
  • 2
  • 2
  • 1
  • 1
  • 1
  • 1
  • 1
  • 1
  • 1
  • 1
Humain, Souris, Rat

Hôte

  • 20
  • 4
  • 2
  • 1
Lapin

Clonalité

  • 23
  • 4
Polyclonal

Conjugué

  • 23
  • 2
  • 1
  • 1
Cet anticorp RAB11B est non-conjugé

Application

  • 22
  • 13
  • 7
  • 7
  • 4
  • 3
  • 2
  • 1
Western Blotting (WB), Immunohistochemistry (IHC), Immunocytochemistry (ICC), Immunohistochemistry (Frozen Sections) (IHC (fro)), Flow Cytometry (FACS)
  • Fonction

    Anti-RAB11B Antibody

    Séquence

    QKQIADRAAH DESPGNNVVD ISVPPTTDGQ KPNKLQCC

    Réactivité croisée (Details)

    No cross-reactivity with other proteins.

    Attributs du produit

    Anti-RAB11B Antibody (ABIN6719364). Tested in Flow Cytometry, IHC, IHC-F, ICC, WB applications. This antibody reacts with Human, Mouse, Rat. This is a premium antibody that guarantees superior quality, high affinity, and strong signals with minimal background in Western blot applications.

    Purification

    Immunogen affinity purified.

    Immunogène

    A synthetic peptide corresponding to a sequence at the C-terminus of human RAB11B, which shares 97.4% and 100% amino acid (aa) sequence identity with mouse and rat RAB11B, respectively.

    Isotype

    IgG
  • Indications d'application

    Western blot, 0.1-0.5 μg/mL
    Immunohistochemistry (Paraffin-embedded Section), 0.5-1 μg/mL
    Immunohistochemistry (Frozen Section), 0.5-1 μg/mL
    Immunocytochemistry, 0.5-1 μg/mL
    Flow Cytometry (Fixed), 1-3 μg/1x106 cells

    Commentaires

    Tested Species: In-house tested species with positive results. By Heat: Boiling the paraffin sections in 10mM citrate buffer, pH6.0, for 20mins is required for the staining of formalin/paraffin sections. Other applications have not been tested. Optimal dilutions should be determined by end users.

    Restrictions

    For Research Use only
  • Format

    Lyophilized

    Reconstitution

    Add 0.2 mL of distilled water will yield a concentration of 500 μg/mL.

    Concentration

    500 μg/mL

    Buffer

    Each vial contains 4 mg Trehalose, 0.9 mg NaCl, 0.2 mg Na2HPO4, 0.05 mg NaN3.

    Agent conservateur

    Sodium azide

    Précaution d'utilisation

    This product contains Sodium azide: a POISONOUS AND HAZARDOUS SUBSTANCE which should be handled by trained staff only.

    Stock

    4 °C,-20 °C

    Stockage commentaire

    Store at -20°C for one year from date of receipt. After reconstitution, at 4°C for one month.
    It can also be aliquotted and stored frozen at -20°C for six months. Avoid repeated freeze-thaw cycles.
  • Antigène

    RAB11B (RAB11B, Member RAS Oncogene Family (RAB11B))

    Autre désignation

    RAB11B

    Sujet

    Synonyms: Ras-related protein Rab-11B, GTP-binding protein YPT3, RAB11B, YPT3

    Tissue Specificity: Expressed in all tissues except liver. Highest levels found in heart, skeletal muscle and pancreas.

    Background: Ras-related protein Rab-11B is a protein that in humans is encoded by the RAB11B gene. It is mapped to 19p13.2. The Ras superfamily of small GTP-binding proteins, which includes the Ras, Ral, Rho, Rap, and Rab families, is involved in controlling a diverse set of essential cellular functions. The Rab family, including RAB11B, appears to play a critical role in regulating exocytotic and endocytotic pathways.

    Poids moléculaire

    24 kDa

    ID gène

    9230

    UniProt

    Q15907

    Pathways

    Hormone Transport, Carbohydrate Homeostasis
Vous êtes ici:
Chat with us!