Tel:
+49 (0)241 95 163 153
Fax:
+49 (0)241 95 163 155
E-Mail:
orders@anticorps-enligne.fr

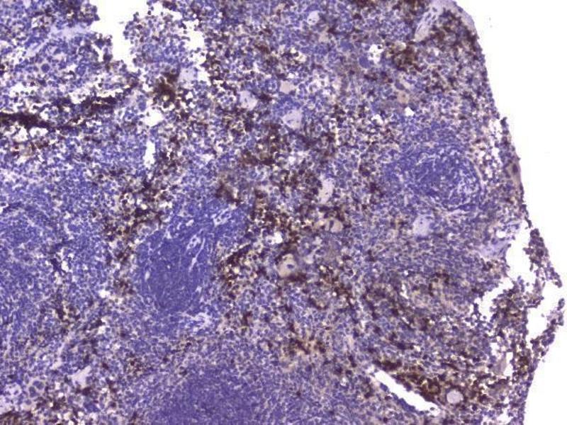
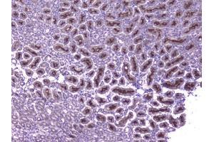
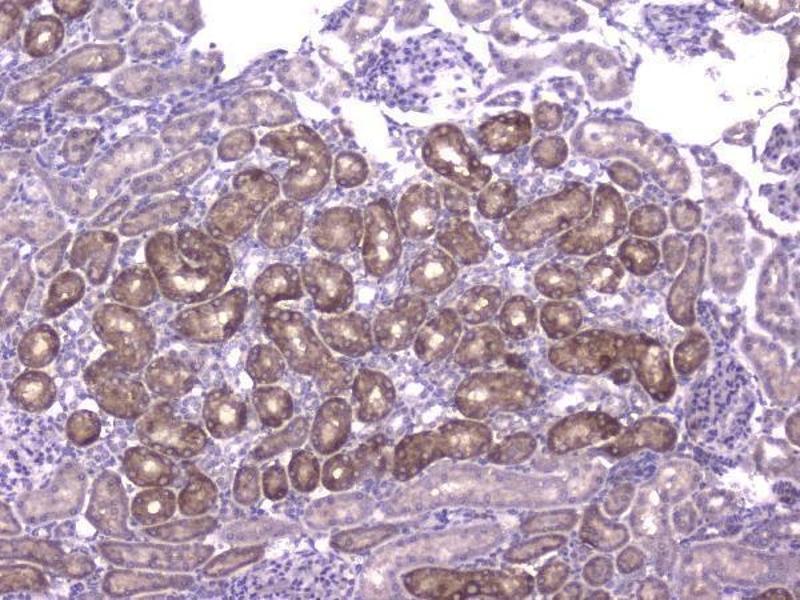
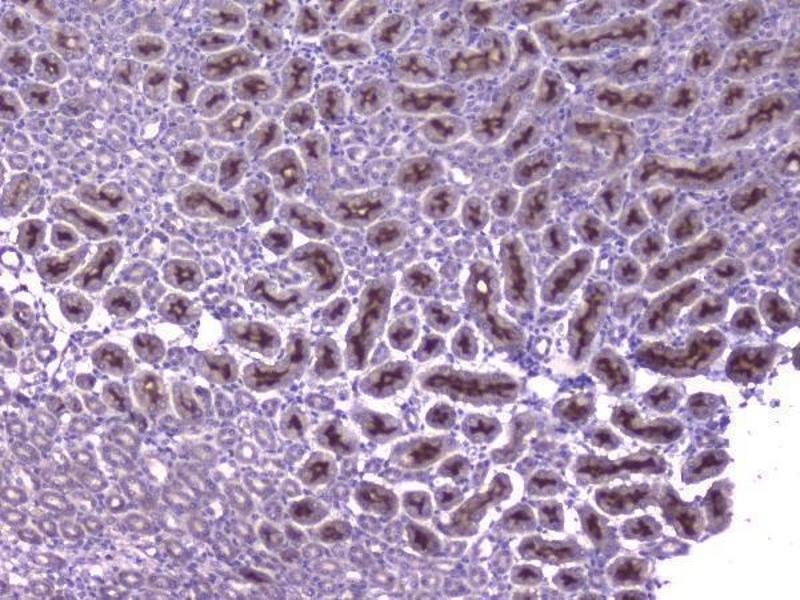
CCL8 anticorps (AA 24-97)

Cet anticorps Lapin Polyclonal détecte spécifiquement CCL8 dans ELISA et IHC. Il présente une réactivité avec des échantillons de Souris et Rat.
N° du produit ABIN6719605
500,50 €
Plus frais de livraison 40,00 € et TVA
100 μg
Destination: France
Envoi sous 8 à 12 jours ouvrables

Aperçu rapide pour CCL8 anticorps (AA 24-97) (ABIN6719605)

Antigène

Voir toutes CCL8 Anticorps
CCL8 (Chemokine (C-C Motif) Ligand 8 (CCL8))

Reactivité

  • 54
  • 14
  • 3
  • 2
  • 2
  • 2
Souris, Rat

Hôte

  • 54
  • 17
  • 1
  • 1
Lapin

Clonalité

  • 55
  • 18
Polyclonal

Conjugué

  • 38
  • 8
  • 3
  • 3
  • 2
  • 1
  • 1
  • 1
  • 1
  • 1
  • 1
  • 1
  • 1
  • 1
  • 1
  • 1
  • 1
  • 1
  • 1
  • 1
  • 1
  • 1
  • 1
  • 1
Cet anticorp CCL8 est non-conjugé

Application

  • 40
  • 25
  • 15
  • 14
  • 14
  • 10
  • 7
  • 6
  • 5
  • 4
  • 4
  • 3
  • 2
  • 2
  • 1
  • 1
  • 1
  • 1
ELISA, Immunohistochemistry (IHC)
  • Épitope

    • 22
    • 4
    • 3
    • 2
    • 2
    • 1
    • 1
    • 1
    • 1
    • 1
    • 1
    AA 24-97

    Fonction

    Anti-CCL8 Antibody

    Réactivité croisée (Details)

    No cross-reactivity with other proteins.

    Attributs du produit

    Anti-CCL8 Antibody (ABIN6719605). Tested in ELISA, IHC applications. This antibody reacts with Mouse, Rat.

    Immunogène

    E. coli-derived mouse CCL8 recombinant protein (Position: G24-P97).

    Isotype

    IgG
  • Indications d'application

    Immunohistochemistry (Paraffin-embedded Section), 0.5-1 μg/mL
    ELISA (Cap), 1-5 μg/mL

    Commentaires

    Tested Species: In-house tested species with positive results. By Heat: Boiling the paraffin sections in 10mM citrate buffer, pH6.0, for 20mins is required for the staining of formalin/paraffin sections. Other applications have not been tested. Optimal dilutions should be determined by end users.

    Restrictions

    For Research Use only
  • Format

    Lyophilized

    Reconstitution

    Add 0.2 mL of distilled water will yield a concentration of 500 μg/mL.

    Concentration

    500 μg/mL

    Buffer

    Each vial contains 4 mg Trehalose, 0.9 mg NaCl, 0.2 mg Na2HPO4, 0.05 mg NaN3.

    Agent conservateur

    Sodium azide

    Précaution d'utilisation

    This product contains Sodium azide: a POISONOUS AND HAZARDOUS SUBSTANCE which should be handled by trained staff only.

    Stock

    4 °C,-20 °C

    Stockage commentaire

    Store at -20°C for one year from date of receipt. After reconstitution, at 4°C for one month.
    It can also be aliquotted and stored frozen at -20°C for six months. Avoid repeated freeze-thaw cycles.
  • Antigène

    CCL8 (Chemokine (C-C Motif) Ligand 8 (CCL8))

    Autre désignation

    Ccl8

    Sujet

    Synonyms: C-C motif chemokine 8, Monocyte chemoattractant protein 2, Monocyte chemotactic protein 2, MCP-2, Small-inducible cytokine A8, Ccl8, Mcp2, Scya8

    Background: CCL8, also known as monocyte chemoattractant protein 2 (MCP2), is a protein that in humans is encoded by the CCL8 gene. It is a small cytokine belonging to the CC chemokine family. The CCL8 protein is produced as a precursor containing 109 amino acids, which is cleaved to produce mature CCL8 containing 75 amino acids. The gene for CCL8 is encoded by 3 exons and is located within a large cluster of CC chemokines on chromosome 17q11.2 in humans. MCP-2 is chemotactic for and activates many different immune cells, including mast cells, eosinophils and basophils, (that are implicated in allergic responses), and monocytes, T cells, and NK cells that are involved in the inflammatory response. CCL8 elicits its effects by binding to several different cell surface receptors called chemokine receptors. These receptors include CCR1, CCR2B, CCR3 and CCR5.

    Poids moléculaire

    71 kDa

    ID gène

    20307

    UniProt

    Q9Z121
Vous êtes ici:
Chat with us!