HMGN5 anticorps (AA 201-282)
Aperçu rapide pour HMGN5 anticorps (AA 201-282) (ABIN672081)
Antigène
Voir toutes HMGN5 AnticorpsReactivité
Hôte
Clonalité
Conjugué
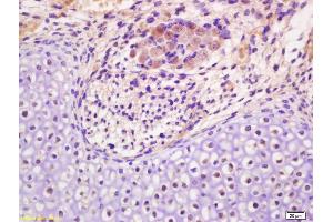
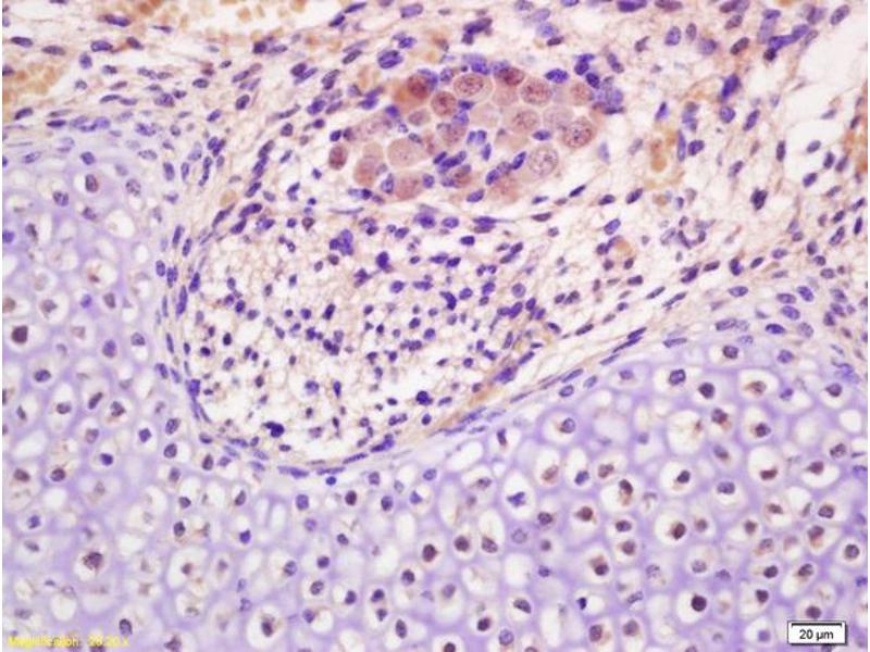
Application
-
-
Épitope
- AA 201-282
-
Réactivité croisée
- Souris
-
Homologie
- Human
-
Purification
- Purified by Protein A.
-
Immunogène
- KLH conjugated synthetic peptide derived from human NSBP1
-
Isotype
- IgG
-
-
-
-
Indications d'application
-
WB 1:300-5000
ELISA 1:500-1000
IHC-P 1:200-400
IHC-F 1:100-500
IF(IHC-P) 1:50-200
IF(IHC-F) 1:50-200
IF(ICC) 1:50-200 -
Restrictions
- For Research Use only
-
-
-
Format
- Liquid
-
Concentration
- 1 μg/μL
-
Buffer
- 0.01M TBS( pH 7.4) with 1 % BSA, 0.02 % Proclin300 and 50 % Glycerol.
-
Agent conservateur
- ProClin
-
Précaution d'utilisation
- This product contains ProClin: a POISONOUS AND HAZARDOUS SUBSTANCE, which should be handled by trained staff only.
-
Stock
- 4 °C,-20 °C
-
Stockage commentaire
- Shipped at 4°C. Store at -20°C for one year. Avoid repeated freeze/thaw cycles.
-
Date de péremption
- 12 months
-
-
- HMGN5 (High Mobility Group Nucleosome Binding Domain 5 (HMGN5))
-
Autre désignation
- NSBP1
-
Sujet
-
Synonyms: NSBP1, NBP-45, High mobility group nucleosome-binding domain-containing protein 5, Nucleosome-binding protein 1, HMGN5
Background: Preferentially binds to euchromatin and modulates cellular transcription by counteracting linker histone-mediated chromatin compaction.
-
ID gène
- 79366
-
UniProt
- P82970
Antigène
-