KIN anticorps (AA 230-279)
Aperçu rapide pour KIN anticorps (AA 230-279) (ABIN6735789)
Antigène
Voir toutes KIN AnticorpsReactivité
Hôte
Clonalité
Conjugué
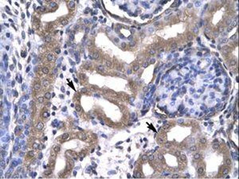
Application
-
-
Épitope
- AA 230-279
-
Specificité
- Human KIN
-
Homologie
- Percent identity by BLAST analysis: Human, Horse (100%) Dog, Bovine, Rabbit, Guinea pig (84%).
-
Purification
- Immunoaffinity purified
-
Immunogène
-
Synthetic peptide located between aa230-279 of human KIN (O60870, NP_036443). Percent identity by BLAST analysis: Human, Chimpanzee, Horse (100%), Gibbon, Marmoset (92%), Monkey, Galago, Elephant, Dog, Bovine, Rabbit, Guinea pig (84%).
Type of Immunogen: Synthetic peptide -
Isotype
- IgG
-
-
-
-
Indications d'application
- Approved: IHC, IHC-P, WB (0.2 - 1 μg/mL)
-
Commentaires
-
Target Species of Antibody: Human
-
Restrictions
- For Research Use only
-
-
-
Format
- Lyophilized
-
Reconstitution
- After adding water, will consist of PBS buffer with 2 % sucrose
-
Concentration
- Lot specific
-
Buffer
- Lyophilized from PBS with 2 % sucrose
-
Conseil sur la manipulation
- Avoid repeat freeze-thaw cycles.
-
Stock
- 4 °C,-20 °C
-
Stockage commentaire
-
Long term: -20°C, the use of 50% glycerol is recommended if storing aliquots in -20°C for long term use (up to 1 year)
Short term (less than 1 week): 4°C. Avoid freeze-thaw cycles.
-
-
-