Tel:
+49 (0)241 95 163 153
Fax:
+49 (0)241 95 163 155
E-Mail:
orders@anticorps-enligne.fr

SFRS17A anticorps (AA 48-97)

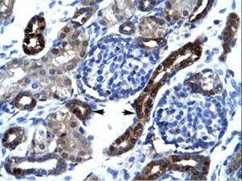
Cet anticorps anti-SFRS17A Polyclonal Lapin (ABIN6735878) détecte spécifiquement SFRS17A dans WB, IHC et IHC (p). L’anticorps est réactif avec des échantillons de Humain, Poulet et Cheval.
N° du produit ABIN6735878
774,07 €
Plus frais de livraison 40,00 € et TVA
100 μL
Destination: France
Envoi sous 15 à 20 jours ouvrables

Aperçu rapide pour SFRS17A anticorps (AA 48-97) (ABIN6735878)

Antigène

Voir toutes SFRS17A (AKAP17A) Anticorps
SFRS17A (AKAP17A) (A Kinase (PRKA) Anchor Protein 17A (AKAP17A))

Reactivité

Humain, Poulet, Cheval

Hôte

  • 39
  • 4
Lapin

Clonalité

  • 41
  • 2
Polyclonal

Conjugué

  • 21
  • 3
  • 3
  • 2
  • 2
  • 2
  • 2
  • 2
  • 2
  • 2
  • 1
  • 1
Cet anticorp SFRS17A est non-conjugé

Application

  • 25
  • 18
  • 6
  • 4
  • 3
  • 2
  • 1
  • 1
Western Blotting (WB), Immunohistochemistry (IHC), Immunohistochemistry (Paraffin-embedded Sections) (IHC (p))
  • Épitope

    • 7
    • 5
    • 4
    • 2
    • 2
    • 1
    • 1
    • 1
    • 1
    • 1
    • 1
    • 1
    • 1
    • 1
    • 1
    AA 48-97

    Specificité

    Human AKAP17A / SFRS17A

    Homologie

    Percent identity by BLAST analysis: Pufferfish (84%).

    Purification

    Immunoaffinity purified

    Immunogène

    Synthetic peptide located between aa48-97 of human AKAP17A (Q8N6U9, NP_005079). Percent identity by BLAST analysis: Human, Gorilla, Gibbon, Galago, Elephant, Panda, Horse, Opossum, Turkey, Chicken (100%), Lizard, Xenopus (92%), Stickleback (84%).

    Type of Immunogen: Synthetic peptide

    Isotype

    IgG
  • Indications d'application

    Approved: IHC, IHC-P, WB (0.2 - 1 μg/mL)

    Commentaires

    Target Species of Antibody: Human

    Restrictions

    For Research Use only
  • Format

    Lyophilized

    Reconstitution

    After adding water, will consist of PBS buffer with 2 % sucrose

    Concentration

    Lot specific

    Buffer

    Lyophilized from PBS with 2 % sucrose

    Conseil sur la manipulation

    Avoid repeat freeze-thaw cycles.

    Stock

    4 °C,-20 °C

    Stockage commentaire

    Long term: -20°C, the use of 50% glycerol is recommended if storing aliquots in -20°C for long term use (up to 1 year)
    Short term (less than 1 week): 4°C. Avoid freeze-thaw cycles.
  • Antigène

    SFRS17A (AKAP17A) (A Kinase (PRKA) Anchor Protein 17A (AKAP17A))

    Autre désignation

    AKAP17A / 721P

    Sujet

    Name/Gene ID: AKAP17A

    Synonyms: AKAP17A, A-kinase anchor protein 17A, 721P, AKAP-17A, B-lymphocyte antigen, B-lymphocyte surface antigen, CCDC133, CXYorf3, DXYS155E, PRKA17A, Pseudoautosomal gene XE7, XE7Y, XE7, Protein XE7, SFRS17A

    ID gène

    8227

    NCBI Accession

    NP_005079

    UniProt

    Q02040
Vous êtes ici:
Chat with us!