SSX2IP anticorps (AA 362-411)
Aperçu rapide pour SSX2IP anticorps (AA 362-411) (ABIN6741616)
Antigène
Voir toutes SSX2IP AnticorpsReactivité
Hôte
Clonalité
Conjugué
Application
-
-
Épitope
- AA 362-411
-
Specificité
- Human SSX2IP
-
Homologie
- Percent identity by BLAST analysis: Human, Dog, Bovine, Rabbit, Horse, Pig, Guinea pig (100%) Mouse (92%).
-
Purification
- Immunoaffinity purified
-
Immunogène
-
Synthetic peptide located between aa362-411 of human SSX2IP (Q9Y2D8, NP_054740). Percent identity by BLAST analysis: Human, Chimpanzee, Gorilla, Gibbon, Monkey, Marmoset, Elephant, Dog, Bovine, Rabbit, Horse, Pig, Guinea pig, Platypus (100%), Galago, Mouse, Rat, Bat, Opossum (92%).
Type of Immunogen: Synthetic peptide -
Isotype
- IgG
-
-
-
-
Indications d'application
-
Approved: IHC, IHC-P (5 μg/mL), WB
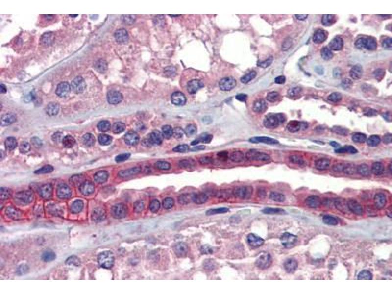
Usage: Immunohistochemistry: This antibody was validated for use in immunohistochemistry on a panel of 21 formalin-fixed, paraffin-embedded (FFPE) human tissues after heat induced antigen retrieval in pH 6.0 citrate buffer. After incubation with the primary antibody, slides were incubated with biotinylated secondary antibody, followed by alkaline phosphatase-streptavidin and chromogen. The stained slides were evaluated by a pathologist to confirm staining specificity. The optimal working concentration for this antibody was determined to be 5 μg/mL. ELISA titer using peptide based assay: 1:312500. Western Blot: Suggested dilution at 1 μg/mL in 5 % skim milk / PBS buffer, and HRP conjugated anti-Rabbit IgG should be diluted in 1:50000 - 100000 as second antibody. -
Commentaires
-
Target Species of Antibody: Human
-
Restrictions
- For Research Use only
-
-
-
Format
- Lyophilized
-
Reconstitution
- Distilled Water.
-
Concentration
- Lot specific
-
Buffer
- Lyophilized from PBS with 2 % sucrose
-
Conseil sur la manipulation
- Avoid repeat freeze-thaw cycles.
-
Stock
- 4 °C,-20 °C
-
Stockage commentaire
-
Long term: -20°C, the use of 50% glycerol is recommended if storing aliquots in -20°C for long term use (up to 1 year)
Short term (less than 1 week): 4°C. Avoid freeze-thaw cycles.
-
-
- SSX2IP (Synovial Sarcoma, X Breakpoint 2 Interacting Protein (SSX2IP))
-
Autre désignation
- SSX2IP
-
Sujet
-
Name/Gene ID: SSX2IP
Synonyms: SSX2IP, ADIP, KIAA0923, SSX2-interacting protein -
ID gène
- 117178
-
NCBI Accession
- NP_054740
Antigène
-