Tel:
+49 (0)241 95 163 153
Fax:
+49 (0)241 95 163 155
E-Mail:
orders@anticorps-enligne.fr

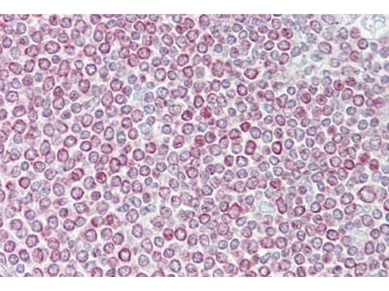
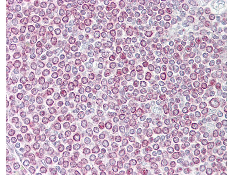
CXCL14 anticorps (C-Term)

L’anticorps anti-CXCL14 Polyclonal Lapin est utilisé pour la détection de CXCL14 dans des échantillons de Humain, Souris, Rat, Chien, Boeuf (Vache), Cheval, Cobaye, Roussette (Chauve-souris), Singe et Porc. Il a été validé pour IHC, WB et IHC (p).
N° du produit ABIN6748654
512,07 €
Plus frais de livraison 40,00 € et TVA
100 μL
Destination: France
Envoi sous 15 à 20 jours ouvrables

Aperçu rapide pour CXCL14 anticorps (C-Term) (ABIN6748654)

Antigène

Voir toutes CXCL14 Anticorps
CXCL14 (Chemokine (C-X-C Motif) Ligand 14 (CXCL14))

Reactivité

Humain, Souris, Rat, Chien, Boeuf (Vache), Cheval, Cobaye, Roussette (Chauve-souris), Singe, Porc

Hôte

  • 42
  • 3
  • 1
  • 1
Lapin

Clonalité

  • 43
  • 4
Polyclonal

Conjugué

  • 20
  • 4
  • 3
  • 2
  • 1
  • 1
  • 1
  • 1
  • 1
  • 1
  • 1
  • 1
  • 1
  • 1
  • 1
  • 1
  • 1
  • 1
  • 1
  • 1
  • 1
  • 1
Cet anticorp CXCL14 est non-conjugé

Application

  • 18
  • 13
  • 13
  • 13
  • 8
  • 5
  • 4
  • 3
  • 3
  • 2
  • 1
  • 1
Immunohistochemistry (IHC), Western Blotting (WB), Immunohistochemistry (Paraffin-embedded Sections) (IHC (p))
  • Épitope

    • 15
    • 8
    • 2
    • 2
    • 2
    • 1
    C-Term

    Specificité

    Human CXCL14

    Homologie

    Percent identity by BLAST analysis: Rat, Dog, Bovine, Horse, Pig, Guinea pig (100%).

    Purification

    Immunoaffinity purified

    Immunogène

    Synthetic peptide from C-Terminus of human CXCL14 (O95715, NP_004878). Percent identity by BLAST analysis: Human, Chimpanzee, Gorilla, Orangutan, Gibbon, Galago, Marmoset, Mouse, Rat, Elephant, Dog, Bovine, Bat, Horse, Pig, Opossum, Guinea pig, Platypus (100%).

    Type of Immunogen: Synthetic peptide
  • Indications d'application

    Approved: IHC, IHC-P (5 μg/mL), WB (1 μg/mL)

    Usage: Western Blot: Suggested dilution at 1 μg/mL in 5 % skim milk / PBS buffer, and HRP conjugated anti-Rabbit IgG should be diluted in 1: 50,000 - 100,000 as secondary antibody.

    Commentaires

    Target Species of Antibody: Human

    Restrictions

    For Research Use only
  • Format

    Lyophilized

    Reconstitution

    Distilled water

    Concentration

    Lot specific

    Buffer

    Lyophilized from PBS, 2 % sucrose.

    Conseil sur la manipulation

    Avoid repeat freeze-thaw cycles.

    Stock

    4 °C,-20 °C

    Stockage commentaire

    Long term: -20°C, the use of 50% glycerol is recommended if storing aliquots in -20°C for long term use (up to 1 year)
    Short term (less than 1 week): 4°C. Avoid freeze-thaw cycles.
  • Antigène

    CXCL14 (Chemokine (C-X-C Motif) Ligand 14 (CXCL14))

    Autre désignation

    CXCL14

    Sujet

    Name/Gene ID: CXCL14
    Subfamily: Intercrine alpha
    Family: Intercrine

    Synonyms: CXCL14, BRAK, C-X-C motif chemokine 14, Bolekine, Breast and kidney, Chemokine BRAK, KS1, Mip2 gamma, MIP2G, SCYB14, Small-inducible cytokine B14, MIP-2 gamma, BMAC, Tumor-suppressing chemokine, KEC, MIP-2g, NJAC

    ID gène

    9547

    NCBI Accession

    NP_004878

    UniProt

    O95715

    Pathways

    Autophagy
Vous êtes ici:
Chat with us!