CHST4 anticorps (AA 234-283)
Aperçu rapide pour CHST4 anticorps (AA 234-283) (ABIN6749709)
Antigène
Voir toutes CHST4 AnticorpsReactivité
Hôte
Clonalité
Conjugué
Application
-
-
Épitope
- AA 234-283
-
Specificité
- Human CHST4 / GST3
-
Homologie
- Percent identity by BLAST analysis: Human (100%) Dog (85%).
-
Purification
- Immunoaffinity purified
-
Immunogène
-
Synthetic peptide located between aa234-283 of human CHST4 (Q8NCG5, NP_005760). Percent identity by BLAST analysis: Human, Chimpanzee, Gorilla, Monkey, Marmoset (100%), Galago, Dog (85%).
Type of Immunogen: Synthetic peptide -
Isotype
- IgG
-
-
-
-
Indications d'application
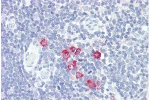
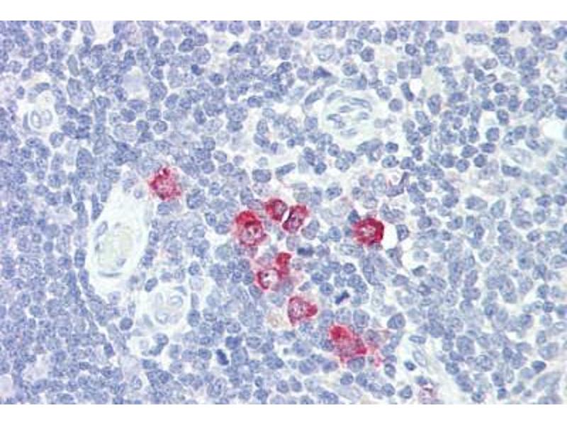
- Approved: IHC, IHC-P (5 - 10 μg/mL), WB (0.2 - 1 μg/mL)
-
Commentaires
-
Target Species of Antibody: Human
-
Restrictions
- For Research Use only
-
-
-
Format
- Lyophilized
-
Reconstitution
- After adding water, will consist of PBS buffer with 2 % sucrose
-
Concentration
- Lot specific
-
Buffer
- Lyophilized from PBS with 2 % sucrose
-
Conseil sur la manipulation
- Avoid repeat freeze-thaw cycles.
-
Stock
- 4 °C,-20 °C
-
Stockage commentaire
-
Long term: -20°C, the use of 50% glycerol is recommended if storing aliquots in -20°C for long term use (up to 1 year)
Short term (less than 1 week): 4°C. Avoid freeze-thaw cycles.
-
-
- CHST4 (Carbohydrate (N-Acetylglucosamine 6-O) Sulfotransferase 4 (CHST4))
-
Autre désignation
- CHST4 / GlcNAc6ST2
-
Sujet
-
Name/Gene ID: CHST4
Synonyms: CHST4, GlcNAc6ST-2, GlcNAc6ST2, Gn6st-2, HEC-GLCNAC-6-ST, GST3, GST-3, HEC-GlcNAc6ST, HECGLCNAC6ST, LSST -
ID gène
- 10164
-
NCBI Accession
- NP_005760
-
UniProt
- Q8NCG5
Antigène
-