Tel:
+49 (0)241 95 163 153
Fax:
+49 (0)241 95 163 155
E-Mail:
orders@anticorps-enligne.fr

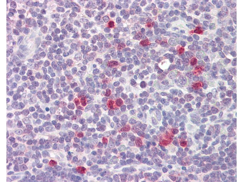
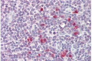
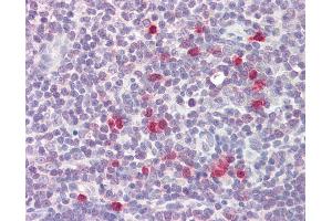
ARPP21 anticorps (AA 74-123)

L’anticorps anti-ARPP21 Polyclonal Lapin est utilisé pour la détection de ARPP21 dans des échantillons de Humain, Souris, Rat, Chien, Cheval, Lapin, Boeuf (Vache) et Porc. Il a été validé pour WB, IHC et IHC (p).
N° du produit ABIN6749725
512,07 €
Plus frais de livraison 40,00 € et TVA
100 μL
Destination: France
Envoi sous 15 à 20 jours ouvrables

Aperçu rapide pour ARPP21 anticorps (AA 74-123) (ABIN6749725)

Antigène

Voir toutes ARPP21 Anticorps
ARPP21 (cAMP-Regulated phosphoprotein, 21kDa (ARPP21))

Reactivité

  • 28
  • 9
  • 6
  • 3
  • 3
  • 3
  • 3
  • 2
  • 2
  • 2
  • 1
  • 1
Humain, Souris, Rat, Chien, Cheval, Lapin, Boeuf (Vache), Porc

Hôte

  • 28
Lapin

Clonalité

  • 28
Polyclonal

Conjugué

  • 16
  • 2
  • 1
  • 1
  • 1
  • 1
  • 1
  • 1
  • 1
  • 1
  • 1
  • 1
Cet anticorp ARPP21 est non-conjugé

Application

  • 21
  • 13
  • 4
  • 1
  • 1
  • 1
  • 1
Western Blotting (WB), Immunohistochemistry (IHC), Immunohistochemistry (Paraffin-embedded Sections) (IHC (p))
  • Épitope

    • 8
    • 6
    • 3
    • 2
    • 1
    • 1
    • 1
    • 1
    AA 74-123

    Specificité

    Human ARPP21 / ARPP-21 isoform 1

    Homologie

    Percent identity by BLAST analysis: Human, Mouse, Rat, Bovine, Dog, Poplar (100%) Chicken (92%).

    Purification

    Immunoaffinity purified

    Immunogène

    Synthetic peptide located between aa74-123 of human ARPP-21 (Q9UBL0, NP_057384). Percent identity by BLAST analysis: Human, Chimpanzee, Gorilla, Gibbon, Galago, Mouse, Rat, Elephant, Panda, Dog, Rabbit, Horse, Pig (100%), Marmoset, Bat, Guinea pig, Turkey, Chicken, Lizard (92%), Platypus (84%).

    Type of Immunogen: Synthetic peptide

    Isotype

    IgG
  • Indications d'application

    Approved: IHC, IHC-P (5 - 10 μg/mL), WB

    Usage: ELISA titer using peptide based assay: 1:62500. Western Blot: Suggested dilution at 1 μg/mL in 5 % skim milk / PBS buffer, and HRP conjugated anti-Rabbit IgG should be diluted in 1:50000 - 100000 as second antibody.

    Commentaires

    Target Species of Antibody: Human

    Restrictions

    For Research Use only
  • Format

    Lyophilized

    Reconstitution

    Distilled Water.

    Concentration

    Lot specific

    Buffer

    Lyophilized from PBS with 2 % sucrose

    Conseil sur la manipulation

    Avoid repeat freeze-thaw cycles.

    Stock

    4 °C,-20 °C

    Stockage commentaire

    Long term: -20°C, the use of 50% glycerol is recommended if storing aliquots in -20°C for long term use (up to 1 year)
    Short term (less than 1 week): 4°C. Avoid freeze-thaw cycles.
  • Antigène

    ARPP21 (cAMP-Regulated phosphoprotein, 21kDa (ARPP21))

    Autre désignation

    RCS / ARPP-21

    Sujet

    Name/Gene ID: ARPP21

    Synonyms: ARPP21, ARPP-21, RCS, R3H domain containing 3, TARPP, R3HDM3

    ID gène

    10777

    NCBI Accession

    NP_057384

    UniProt

    Q9UBL0
Vous êtes ici:
Chat with us!