Tel:
+49 (0)241 95 163 153
Fax:
+49 (0)241 95 163 155
E-Mail:
orders@anticorps-enligne.fr

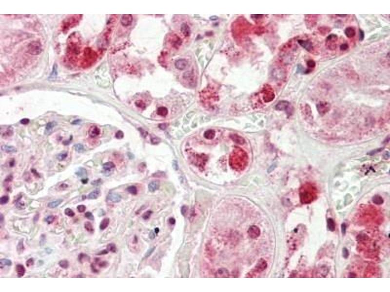
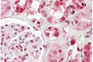
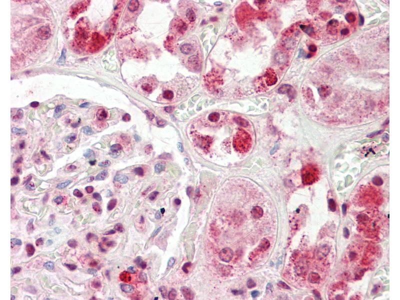
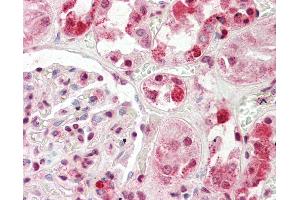
HECTD2 anticorps (AA 684-733)

Cet anticorps Lapin Polyclonal détecte spécifiquement HECTD2 dans WB, IHC et IHC (p). Il présente une réactivité avec des échantillons de Humain, Souris, Boeuf (Vache), Chien, Cobaye, Cheval, Lapin, Roussette (Chauve-souris) et Singe.
N° du produit ABIN6752984
512,07 €
Plus frais de livraison 40,00 € et TVA
100 μL
Destination: France
Envoi sous 15 à 20 jours ouvrables

Aperçu rapide pour HECTD2 anticorps (AA 684-733) (ABIN6752984)

Antigène

Voir toutes HECTD2 Anticorps
HECTD2 (HECT Domain Containing 2 (HECTD2))

Reactivité

  • 25
  • 5
  • 3
  • 2
  • 2
  • 2
  • 2
  • 2
  • 1
  • 1
  • 1
  • 1
  • 1
Humain, Souris, Boeuf (Vache), Chien, Cobaye, Cheval, Lapin, Roussette (Chauve-souris), Singe

Hôte

  • 20
  • 5
Lapin

Clonalité

  • 23
  • 2
Polyclonal

Conjugué

  • 16
  • 3
  • 2
  • 2
  • 1
  • 1
Cet anticorp HECTD2 est non-conjugé

Application

  • 20
  • 15
  • 4
  • 2
  • 2
Western Blotting (WB), Immunohistochemistry (IHC), Immunohistochemistry (Paraffin-embedded Sections) (IHC (p))
  • Épitope

    • 7
    • 5
    • 4
    • 2
    • 2
    • 2
    • 1
    • 1
    • 1
    AA 684-733

    Specificité

    Human HECTD2

    Purification

    Immunoaffinity purified

    Immunogène

    Synthetic peptide located between aa684-733 of human HECTD2 (Q5RD78, NP_877497). Percent identity by BLAST analysis: Human, Chimpanzee, Gorilla, Orangutan, Gibbon, Monkey, Galago, Marmoset, Mouse, Elephant, Dog, Bovine, Bat, Rabbit, Horse, Opossum, Guinea pig, Zebra finch, Platypus (100%), Turkey, Chicken, Xenopus, Stickleback (92%), Drosophila, Beetle (91%).

    Type of Immunogen: Synthetic peptide

    Isotype

    IgG
  • Indications d'application

    Approved: IHC, IHC-P (10 μg/mL), WB (0.2 - 1 μg/mL)

    Usage: ELISA titer using peptide based assay: 1:312500. Western Blot: Suggested dilution at 1 μg/mL in 5 % skim milk / PBS buffer, and HRP conjugated anti-Rabbit IgG should be diluted in 1:50000 - 100000 as second antibody.

    Commentaires

    Target Species of Antibody: Human

    Restrictions

    For Research Use only
  • Format

    Lyophilized

    Reconstitution

    Distilled Water.

    Concentration

    Lot specific

    Buffer

    Lyophilized from PBS with 2 % sucrose

    Conseil sur la manipulation

    Avoid repeat freeze-thaw cycles.

    Stock

    4 °C,-20 °C

    Stockage commentaire

    Long term: -20°C, the use of 50% glycerol is recommended if storing aliquots in -20°C for long term use (up to 1 year)
    Short term (less than 1 week): 4°C. Avoid freeze-thaw cycles.
  • Antigène

    HECTD2 (HECT Domain Containing 2 (HECTD2))

    Autre désignation

    HECTD2

    Sujet

    Name/Gene ID: HECTD2

    Synonyms: HECTD2, HECT domain containing 2

    ID gène

    143279

    NCBI Accession

    NP_877497
Vous êtes ici:
Chat with us!