Tel:
+49 (0)241 95 163 153
Fax:
+49 (0)241 95 163 155
E-Mail:
orders@anticorps-enligne.fr

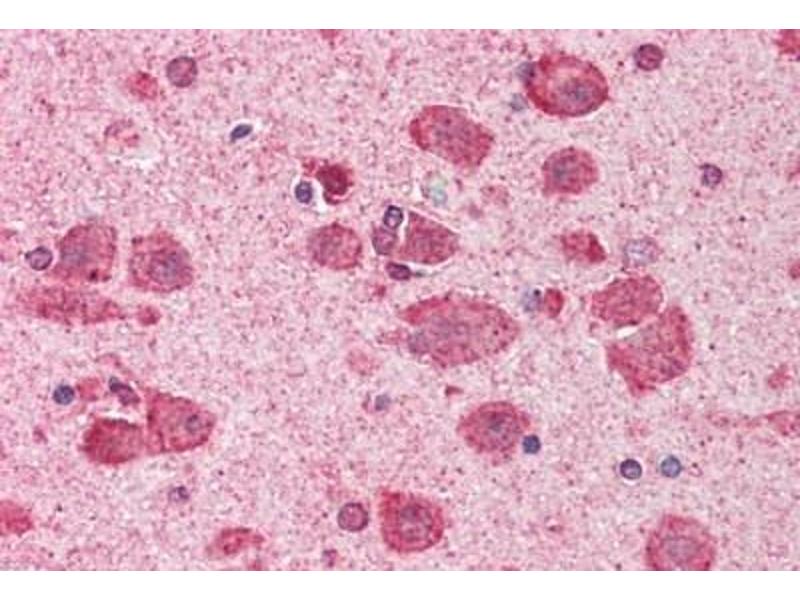
KIF5C anticorps (N-Term)

L’anticorps anti-KIF5C Polyclonal Lapin est utilisé pour la détection de KIF5C dans des échantillons de Humain, Cobaye et Lapin. Il a été validé pour WB, IHC et IHC (p).
N° du produit ABIN6752997
512,07 €
Plus frais de livraison 40,00 € et TVA
100 μL
Destination: France
Envoi sous 15 à 20 jours ouvrables

Aperçu rapide pour KIF5C anticorps (N-Term) (ABIN6752997)

Antigène

Voir toutes KIF5C Anticorps
KIF5C (Kinesin Family Member 5C (KIF5C))

Reactivité

  • 28
  • 19
  • 5
  • 2
  • 2
  • 1
  • 1
  • 1
  • 1
  • 1
Humain, Cobaye, Lapin

Hôte

  • 30
Lapin

Clonalité

  • 30
Polyclonal

Conjugué

  • 13
  • 3
  • 2
  • 2
  • 2
  • 2
  • 1
  • 1
  • 1
  • 1
  • 1
  • 1
Cet anticorp KIF5C est non-conjugé

Application

  • 22
  • 14
  • 8
  • 2
  • 1
  • 1
Western Blotting (WB), Immunohistochemistry (IHC), Immunohistochemistry (Paraffin-embedded Sections) (IHC (p))
  • Épitope

    • 8
    • 2
    • 2
    • 1
    • 1
    N-Term

    Specificité

    Human KIF5C

    Purification

    Immunoaffinity purified

    Immunogène

    Synthetic peptide from N-Terminus of human KIF5C (O60282, NP_004513). Percent identity by BLAST analysis: Human, Elephant, Rabbit, Guinea pig (100%), Mouse, Rat, Dog, Bovine, Opossum, Chicken (92%), Bat (85%).

    Type of Immunogen: Synthetic peptide

    Isotype

    IgG
  • Indications d'application

    Approved: IHC, IHC-P (10 μg/mL), WB (0.2 - 1 μg/mL)

    Usage: Western Blot: Suggested dilution at 1 μg/mL in 5 % skim milk / PBS buffer, and HRP conjugated anti-Rabbit IgG should be diluted in 1: 50,000 - 100,000 as secondary antibody.

    Commentaires

    Target Species of Antibody: Human

    Restrictions

    For Research Use only
  • Format

    Lyophilized

    Reconstitution

    Reconstitute with 50 μL sterile ddH2O.

    Concentration

    Lot specific

    Buffer

    Lyophilized from PBS with 2 % sucrose

    Conseil sur la manipulation

    Avoid repeat freeze-thaw cycles.

    Stock

    4 °C,-20 °C

    Stockage commentaire

    Long term: -20°C, the use of 50% glycerol is recommended if storing aliquots in -20°C for long term use (up to 1 year)
    Short term (less than 1 week): 4°C. Avoid freeze-thaw cycles.
  • Antigène

    KIF5C (Kinesin Family Member 5C (KIF5C))

    Autre désignation

    KIF5C

    Sujet

    Name/Gene ID: KIF5C

    Synonyms: KIF5C, KIAA0531, KINN, NKHC-2, Kinesin family member 5C, Kinesin heavy chain isoform 5C, NKHC, NKHC2

    ID gène

    3800

    NCBI Accession

    NP_004513
Vous êtes ici:
Chat with us!