GATAD1 anticorps (C-Term)
Aperçu rapide pour GATAD1 anticorps (C-Term) (ABIN6754926)
Antigène
Voir toutes GATAD1 AnticorpsReactivité
Hôte
Clonalité
Conjugué
Application
-
-
Épitope
- C-Term
-
Specificité
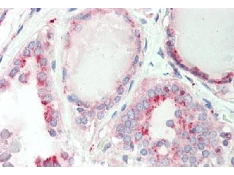
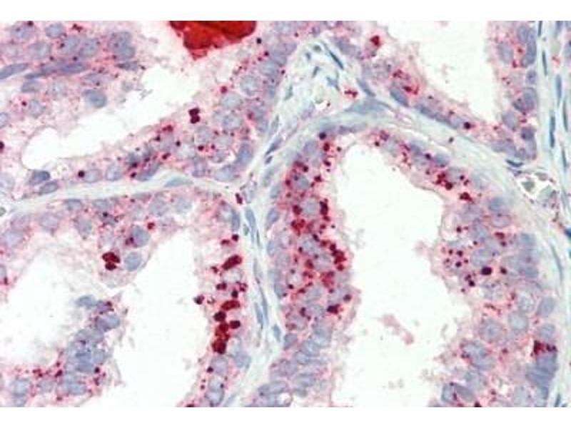
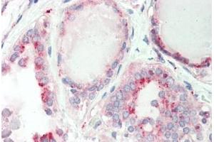
- Human GATAD1
-
Purification
- Immunoaffinity purified
-
Immunogène
-
Synthetic peptide from C-Terminus of human GATAD1 (Q8WUU5, NP_066990). Percent identity by BLAST analysis: Human, Gorilla, Gibbon, Monkey, Galago, Marmoset, Mouse, Rat, Elephant, Dog, Bovine, Rabbit, Horse, Opossum, Guinea pig, Turkey, Chicken, Platypus (100%), Lizard, Xenopus, Catfish, Stickleback, Zebrafish (92%), Bat, Salmon (85%).
Type of Immunogen: Synthetic peptide -
Isotype
- IgG
-
-
-
-
Indications d'application
- Approved: IHC, IHC-P (5 μg/mL), WB (0.2 - 1 μg/mL)
-
Commentaires
-
Target Species of Antibody: Human
-
Restrictions
- For Research Use only
-
-
-
Format
- Lyophilized
-
Reconstitution
- After adding water, will consist of PBS buffer with 2 % sucrose
-
Concentration
- Lot specific
-
Buffer
- Lyophilized from PBS with 2 % sucrose
-
Conseil sur la manipulation
- Avoid repeat freeze-thaw cycles.
-
Stock
- 4 °C,-20 °C
-
Stockage commentaire
-
Long term: -20°C, the use of 50% glycerol is recommended if storing aliquots in -20°C for long term use (up to 1 year)
Short term (less than 1 week): 4°C. Avoid freeze-thaw cycles.
-
-
- GATAD1 (GATA Zinc Finger Domain Containing 1 (GATAD1))
-
Autre désignation
- GATAD1
-
Sujet
-
Name/Gene ID: GATAD1
Synonyms: GATAD1, CMD2B, ODAG, RG083M05.2 -
ID gène
- 57798
-
NCBI Accession
- NP_066990
Antigène
-