Tel:
+49 (0)241 95 163 153
Fax:
+49 (0)241 95 163 155
E-Mail:
orders@anticorps-enligne.fr

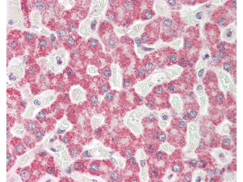
Ferredoxin Reductase anticorps (AA 254-303)

Cet anticorps Lapin Polyclonal détecte spécifiquement Ferredoxin Reductase dans WB, IHC et IHC (p). Il présente une réactivité avec des échantillons de Humain, Souris, Rat, Boeuf (Vache), Cheval et Porc.
N° du produit ABIN6755379
512,07 €
Plus frais de livraison 40,00 € et TVA
100 μL
Destination: France
Envoi sous 15 à 20 jours ouvrables

Aperçu rapide pour Ferredoxin Reductase anticorps (AA 254-303) (ABIN6755379)

Antigène

Voir toutes Ferredoxin Reductase (FDXR) Anticorps
Ferredoxin Reductase (FDXR)

Reactivité

  • 27
  • 21
  • 5
  • 2
  • 2
  • 2
  • 2
  • 1
  • 1
Humain, Souris, Rat, Boeuf (Vache), Cheval, Porc

Hôte

  • 40
  • 2
Lapin

Clonalité

  • 42
Polyclonal

Conjugué

  • 19
  • 4
  • 3
  • 3
  • 1
  • 1
  • 1
  • 1
  • 1
  • 1
  • 1
  • 1
  • 1
  • 1
  • 1
  • 1
  • 1
Cet anticorp Ferredoxin Reductase est non-conjugé

Application

  • 37
  • 18
  • 13
  • 13
  • 5
  • 5
  • 3
  • 1
  • 1
  • 1
Western Blotting (WB), Immunohistochemistry (IHC), Immunohistochemistry (Paraffin-embedded Sections) (IHC (p))
  • Épitope

    • 15
    • 7
    • 6
    • 2
    • 2
    • 2
    • 1
    • 1
    • 1
    • 1
    • 1
    • 1
    AA 254-303

    Specificité

    Human FDXR

    Purification

    Immunoaffinity purified

    Immunogène

    Synthetic peptide located between aa254-303 of human FDXR (P22570, NP_077728). Percent identity by BLAST analysis: Human (100%), Gibbon, Monkey (92%), Gorilla, Marmoset, Mouse, Rat, Elephant, Bovine, Horse, Pig (85%).

    Type of Immunogen: Synthetic peptide

    Isotype

    IgG
  • Indications d'application

    Approved: IHC, IHC-P (10 μg/mL), WB (0.2 - 1 μg/mL)

    Usage: ELISA titer using peptide based assay: 1:12500. Western Blot: Suggested dilution at 1 μg/mL in 5 % skim milk / PBS buffer, and HRP conjugated anti-Rabbit IgG should be diluted in 1:50000 - 100000 as second antibody.

    Commentaires

    Target Species of Antibody: Human

    Restrictions

    For Research Use only
  • Format

    Lyophilized

    Reconstitution

    Distilled Water.

    Concentration

    Lot specific

    Buffer

    Lyophilized from PBS with 2 % sucrose

    Conseil sur la manipulation

    Avoid repeat freeze-thaw cycles.

    Stock

    4 °C,-20 °C

    Stockage commentaire

    Long term: -20°C, the use of 50% glycerol is recommended if storing aliquots in -20°C for long term use (up to 1 year)
    Short term (less than 1 week): 4°C. Avoid freeze-thaw cycles.
  • Antigène

    Ferredoxin Reductase (FDXR)

    Autre désignation

    FDXR

    Sujet

    Name/Gene ID: FDXR

    Synonyms: FDXR, Adrenodoxin reductase, ADXR, Ferredoxin--NADP(+) reductase, Ferredoxin reductase

    ID gène

    2232

    NCBI Accession

    NP_077728
Vous êtes ici:
Chat with us!